Medical Academy Corporation

Topics

HOME | Topics | 第118回国試を振り返って

医師国家試験を振り返って

第118回  医師国家試験を振り返って


Dr.りょう

118回の医師国家試験を受験した皆さん、お疲れ様でした。
いろいろ大変な思いで受験をした方も多かったかと思います。本当によく頑張りました。できれば少しゆっくり身体を休めてください。
私の方は、早速だが今回の国家試験問題を振り返ってみたい。
 
ひと通り、解き終わっての私の感想は、『より実践的な問題が増え、研修医への橋渡しになる問題が増えた』印象だ。
先輩医師である出題者の先生方から受験生の皆さんへの期待とメッセージを感じるとても良い医師国家試験問題であった。
 
これから臨床で出会い、診断するのは生身の人間であって、机上の人ではない。
知識はもちろん大切であるが、もっと大切であるのは医師として人を診ることだ。
学生の今までは問題文で『見る』ことが主体であったが、4月からは患者さんを『診る』や『看る』ことになるのだ。
 
今、ようやく国家試験が終えたところで、この先のことを言うのは申し訳ないが、このあと研修医になるとちょっと大変である。大学で臨床実習があったとはいえ、お客さんであった実習と、責任のある医師として臨床の場に出ることとは雲泥の差である。そのため、多かれ少なかれ研修医になったときには、皆、ショックを受ける。
それは、学生から社会人になったという事実と、医師として人の命を扱うという現場に出た事実が原因だと思う。
自分の力の無さを痛感し、幻滅し、涙することもあるかもしれない。でもそれは、より良い臨床家になるための大きな成長の証であることを忘れないでほしい。
今年の国家試験の問題は、先輩医師の誰しもが通ってきたそのショックを少しでも和らげてあげたい。
そんな先輩医師の暖かい気持ちのこもったよい医師国家試験問題であったと感じた。
 
繰り返すが、現場では、今まで机上の問題で出会った状況で患者さんとは出会わない。
問題文の患者さんはすでに必要な検査や画像が終わっているが、臨床では、診断のために必要な検査・画像を自分で判断し実施するのである。当然だが、身体所見の写真も与えられず、特徴のある身体所見を自分で見つけ出すのである。
そのうえで、自分の目の前にいる病める患者さんを診断し治療を行うのである。
そんな力を学生時代から少しでも身につけてほしいというメッセージが込められた国家試験問題であったように感じた。
 
そのほか、118回の問題について、気が付いた点を何点か記載したい。
 
●研修医のときに役に立つ問題が多い。
前述したように、研修医になったときに役に立つ問題が多かった。
F48(全身麻酔中のモニター変化への対応)などはまさに、その現場が目に浮かぶような問題である。
研修医として麻酔科にローテーションすると基本的には指導医と2名で全身麻酔管理を行う。
病態急変の多い麻酔導入時、抜管時は指導医とともに対応するが、研修に慣れてくると、手術中の安定した時は、研修医1人が手術室に残されて管理を行う(もちろん指導医は廊下の窓からや他の場所でモニターをチェックしているのであるが)。研修医の自分が一人、残されたときにモニターがF48問題の画像のように急変したときにどうするのかを問われているとても実践的な良問である。正解の人工呼吸器回路の接続はずれや、モニターのはずれは、実際にあり得ることである。
 

 

もちろん、研修時に急変など困ったときには指導医をすぐに呼ぶことが一番である。
F73(夜間救外での対応)のように夜間に救急外来で診療中に困ったときにはまず指導医に応援依頼をしてほしい。実際のF73のような臨床の場では、救急隊からの患者受け入れ要請連絡時には、すでに看護師から指導医には連絡がいっていて、救急車が来院したときには指導医もすでにスタンバイしているはずではあるが。



外科ローテーションも終盤になると研修医でも皮膚縫合の機会が与えられると思う。
そして実際に救急外来などでは自分で縫合することもあるだろう。B36(皮膚縫合後の指導)も実際にありうる良問だ。頭部外傷にて皮膚縫合したあとに患者さんに注意する点を問われている臨床現場ではあるある問題である。




これらのように研修医の時に役に立つ問題の出題が多かった。
では、これらの臨床問題に対してどのような対策をとるべきであろうか?
これは難しい。研修医になれば先輩の失敗談や経験談などを聞くことで学んでいくことができるが、学生の段階ではどうするべきか? 可能であれば研修医になった先輩に話を聞ければと思う。できなければ、初期研修医のための本が数多く販売されているので、それを見ておくことが対策とてしても、将来の自分をイメージできてよいかもしれない。
 
●外来診療での診断の助けになる問題が多い。
市中病院で一般外来をやるときに役に立つ知識を問う問題も多かった。
D6(成人男性の急性腎盂腎炎の原因)、E6(我が国で65歳以上の患者で最も多い疾患)などは外来診療をやっていれば肌で感じることである。確かにこれらを前もって知っていれば、外来診療に大いに役に立つ。
E7(鼻咽頭ぬぐい液の採取手順)は新型コロナウイルス感染症拡大以前から、インフルエンザウイルス感染確認のためには必須の手順である。外来診療を行う臨床医として知らないことは許されない手技の一つである。

 
●救急車の出動が多かった。
 例年に増して救急車出動の問題が多かったように思う。
すなわち、救急外来で診る疾患の問題が多かった。特に交通外傷を含む外傷に対する対応・処置に関する問題も多く、これも国家試験の問題の内容がより実践的になってきていることを表している。
 
B35(交通外傷)、C40(被災地のトリアージ)、C50(交通外傷)、C66-68(交通外傷)、F64-66(高所からの転落)
 
外傷は健常人でもドラマチックな病態変化を引き起こす。引き起こされている病態を迅速に把握し、それに対して的確な処置が必要となる。循環動態を安定させることが先決であるが、同時に、循環動態の悪化を引き起こしている原因を見つけ出し、改善することを行わなければならない。
分単位で迅速な対応を求められる分野で、その場で勉強している時間はない。研修医になって「自分には関係ない」と思っている人にこそ、このような緊急対応を求められる症例がやってくる。緊急時には指導医をはじめ多くの人を呼ぶことが重要であるが、もし自分一人であったときはどうするかと考えながら勉強をしていくと将来、必ず役に立つ日がやってくる。救急疾患も今一度まとめて知識を整理しておきたい。
 


 

●画像問題が少なかった。
例年に比べ、画像問題が少なかった。しかし、これは画像問題が重要でなくなったというわけではない。より実践的な問題が多くなったことによる影響と考える。
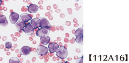
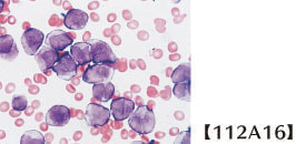
少なくなったとはいえ、これは一時的な傾向と考えられ、次回以降もやはり画像問題は重要ということに変わりはない。今回も過去問と同じ画像が数題、出題された。A15(急性白血病)112E41A45(掌蹠膿疱症)109A25D56(球脊髄性筋委縮症)108D30と同じ画像であった。
これらのことを考えると過去10年間に出題された画像をすべてチェックすることは続けていただきたい。全く同じ画像ではなくても特徴的な画像は繰り返し出題されている。
 
将来的には、与えられた画像から考えるのではなく、必要な画像を自分で判断し、その画像から患者さんの病態を考える力を問われる問題が出題されるかもしれない。問題文から必要な画像検査を選択させ、それぞれ選択した検査の画像から正解を導き出すような問題形式が出てきたら面白い。




●公衆衛生関連問題もより実践的に。
A31(左不全片麻痺患者のサポート)、B1(採血できる職種)、B48(社会保険制度の説明者)では医師以外の国家資格者の臨床現場で行えることを問われた。患者さんへの医療は医師をはじめ、医療従事者が協力して行うチーム医療である。医師が他の医療従事者ができることを理解しておくことは非常に重要となる。今一度、確認しておきたい。




産業医分野からの出題もより実践的になってきている。C48(片麻痺の職場復帰)は産業医として復帰時面談で考慮することで実践的な問題である。C53(調査の研究デザイン)でも、実際の状況が提示されており、ただ単に調査研究を問われていることよりもより臨床的になっている。
その他、公衆衛生分野は過去に問われた問題が多かった。公衆衛生分野は相変わらず、過去問演習が重要で合否を左右する分野でもある。必ず、十分な時間を公衆衛生の勉強に充ててほしい。




 

●英語の問題は特に対策必要なし。
今年は4題出題され、組み合わせ問題が初めて出題された。少しずつ難しくなってはきているが、特別な英語を勉強しなければならないようなものではなく、英語問題対策は特に必要ないと考える。
A50(脛骨神経麻痺)
左大腿骨頸部骨折で入院中に左足の動きが悪くなってきた原因を問われていることは分かる。それが分かれば解答は容易であろう。
B13(重症熱傷後の病態)
重症熱傷について問われていることが分かれば正解は容易にわかる。
E4(癌のリスク)
Sodiumがナトリウムとわかれば、肺癌とナトリウム?となるか。
E28(血小板減少症の意識混濁)
CTを撮影してくださいというメモを持っているのだからCT撮影を行うだけだ。
 
 
以上が、私の118回医師国家試験の分析・総括だ。


最後に。
今回も去年同様、A問題前半が解答しやすい問題が並んでいた。
緊張感マックスの初日午前はこれからも受験生に優しい問題が並ぶことを切に希望する。

来年に向けて、日ごろから確実な知識を身に付ける勉強を続けていただければと思う。
頑張れ!

 
 
Dr.はやと

受験生の皆さん、第118回医師国家試験の受験、本当にお疲れさまでした。

いろいろな学生からの連絡や分析されている方の動向を見てみると、第118回の合格ボーダーラインは過去最高になりそう?そんな簡単だっただろうか? 私は決してそうは思いません。問題の難易度やレベルは変わっていないように思えます。いや、むしろガイドラインが微妙に変化してさらに厳密になっている感じさえするのですが、そんな中で自己採点がそこまで高い? これは学生さんのレベル変化もあると思います。コロナ禍で実習が中止になることもあった世代で、相対的に机に向かう時間が増えているという事実も関与しているのかもしれません。その一方で、診察器具や臨床に即した優先順位を問うものなどでまだまだ正答率が伸びない側面も見受けられる気がしています。

小児科の問題はオーソドックスなもの、マイナーで面白い疾患の出題、その一方で疾患が何であるのかよくわからない問題まで、非常に多彩であったと思います。 D35(肥厚性幽門狭窄症の輸液組成)D63(周期性嘔吐症のガス分析所見)D75(新生児低血糖のブドウ糖液投与量の計算)などしっかり受験生の頭を働かせる問題も複数見られています。



最後の F問題で各受験生が疲弊している中で小児科系新作問題がけっこう乱れ打ちになっていて、相当しんどかったのではないかと思っています。そんな中で注目なのは新生児マススクリーニングの問題が C33F31でみられたこと。そしてどんな形でも出題は間違いないと思われていたワクチンの問題が C30F57のような形で登場したことです。なかなか裏をかいてくるというか、そこ聞いてきたかというか、一筋縄ではいかないなという印象を持ちました。

 


産婦人科に関しては受験生の答えが割れるような問題が複数あったようです。F18(分娩回旋の問題)D51(コルポスコピー所見)A25(母子感染症)は受験生にはちょっと酷なのではというような内容に見えますし、わざわざ答えを一つに絞る必要があったのかというD43のような出題も個人的には気になっているところです。ただしそれ以外の問題に関しては乳腺疾患の問題も含めてよくあるタイプの出題であったように思えます。


A29は目新しい新作でしたが臨床背景や検査データから正解にはたどり着けるものでした。HPV系の問題がどこかで出てくると思いましたがC16のような形で登場しました。やはりワクチン系は小児科問題もそうだったように、かなり趣向を凝らしてきたものと思います。


そして不妊症になる原因としても注目を集めている高プロラクチン血症系の出題がA73C25で、近年異常増加している梅毒に関する出題もA10B37でみられ、昨今の話題にも忠実でした。

  


近年流行りのD49(不妊症系)C32(出生前診断系)A61(母子健康手帳の内容に関して)も出題がありました。



そして前置胎盤の警告出血系の問題は 112B30で物議を醸し、 117C59で落ち着いたようにも見えましたが、今年も D29で出題されました。受験生の正答率に注目が集まります。




全体的にはとにかく公衆衛生系も含めて高齢者対応に関する問題、いわゆる老年医学系の問題が飛躍的に増えていることに驚きが隠せません。もうわが国は完全に高齢社会という自覚をすべきなのでしょう。英語問題もやはりというべきか純粋な英語問題だけでも4問(A50B13E4E28)、問題の選択肢だけ英語表記になっている問題も2問ありました。英語も必須といって過言ではないでしょう。

今年は11日に発生した能登半島地震の影響で被災されたり、直接被災はしなくても影響を受けたりした受験生も多くいらっしゃったのではないでしょうか。大変な思いをした方々に対して、心よりお見舞い申し上げます。

第117回  医師国家試験を振り返って


Dr.りょう

 117回の医師国家試験を受験した皆さん、お疲れ様でした。

 今まで頑張った自分を褒めてあげてください。本当によく頑張りました。
早速だが、今回の国家試験問題を振り返ってみたい。

 一通り、解き終わっての私の感想は、「『気持ちよく』解答することができたなぁ」だった。 この不思議な気持ち、『気持ちよく』の理由は何かと考えてみた。

 まず、A問題前半(A15まで)が例年に比べて解答しやすい問題が並んでいたことが原因だと考える。
例年、緊張感マックスの初日1問目から割問になるちょっと捻った問題が出題されていた。受験生にとっては出鼻を挫かれてしまうことになっていたが、今年はA15問までは難なく解答でき、その後、良いリズムで進めることができたのではないかと思われる。A4(急性好酸球性肺炎)はちょっと難しいかもしれないが、病態を考え、102A52の画像を思い出せれば問題なく解答できたのではないかと思う。今後もこのように前半には、受験生に優しい問題が並ぶことを切に希望する。
 

 
そのほか、『気持ちよく』解答できた理由を考えてみたが、公衆衛生分野が比較的、過去に問われた問題が多かった点もその原因だろう。116回は公衆衛生分野で、新作の問題が多かったため、受験生を悩ませた。今年はその点、過去問で問われたことが多かった。公衆衛生分野は相変わらず、過去問演習が重要である。必ず、十分な時間を公衆衛生の勉強に充ててほしい。

 以上が『気持ちよく』解答することができたと感じた理由だ。そのほか、117回の問題について、気が付いた点を何点か記載したい。


●診断する能力(手順)を問う問題が多い。
 117回も、「まず、行うものはどれか?」「次に行うものはどれか?」、「さらに行うものはどれか?」などと聞かれている問題が多かった。116回同様、これらの問題が約30問あった。 机上の勉強だけではなかなか対策が難しいこれらのタイプの問題対策としては、臨床問題を解いているときに具体的に問題に登場した患者さんを想像することだろう。臨床問題を解くごとに、新しい患者さんが目の前に現れて、診療・治療をイメージの中で行うことができれば最高である。実際に目の前に苦しんでいる患者さんを、いかにしたら救うことができるか?そこを考える力が必要なのである。

 そのことを机上でできれば、臨床現場に出たときに、必ず、自分を助けてくれることになるだろう。現場で身に付ける診断技術を、学生時代から意識しておくだけでも、十分なことだ。あと、当然ながら「実習を大切にすること」は重要である。

●新型ウイルス感染症(COVID-19)関連の問題が出題された。
 やはりという感じだが、新型コロナウイルス感染症関連の問題が何問か出題された。 E46では、「実際の救急外来の診察手順」、F44は「新型コロナウイルス感染症流行による高齢者への影響」と非常に臨床的な問題でともに良問だ。難易度も特に問題なく答えられるものであった。
 

 
 今後は、新型コロナウイルス感染症の画像診断やワクチン関連、後遺症など、より深い問題が出題される可能性がある。対策を講じておきたい。


●高齢者の現状・高齢患者への対応の問題が多い。  
 117回の傾向で1番は、この高齢者の現状・高齢患者への対応の問題が多くなった点である。ざっと挙げただけでも、下記の17題ある。少子高齢化社会の日本をよく表した問題と考える。実際に、医療現場でも高齢者の対応は多くなってきているし、産業医分野でも高齢労働者が多くなり、その対策が必要となっている。今後もこの分野の問題は増えていくことが予想される。高齢者特有の疾患や高齢患者の現状・法制度などを中心に日々の勉強をしてほしい。

A49(高齢患者の支援)、B14(介護保険法)、B26(認知症患者への対応)、B28(認知症患者の治療方針決定)、D13(介護保険について)、D15(在宅医療サービス)、D19(機能訓練の職務)、D22(介護保険の一次判定)、D30(65歳以上の就業者数)、E21(服薬アドヒアランス)、E25(妻と死別後の高齢者)、E33(ロコモティブシンドロームの対応)、E34(高齢者の骨折)、E35(退院後の介護サービス)、F6(在宅療養中の死亡)、F20(フレイル予防)、F28(高齢労働者の作業安全)


●英語の問題は特に対策必要なし。
 例年通り、2題出題された。ともに特別な英語を勉強しなければならないようなものではなく、英語問題対策は特に必要ないと考える。
・B8(空気感染する感染症) たとえ英語が分からなくても、選択肢に感染症が並んでいて、問題文に「air…」とあれば「空気感染するものでは?」と考えられる。
・D52(頭痛の疾患) MRIなどで所見がないこと、髄膜刺激症状がないことからある程度、選択肢は絞ることができる。「Cluster」はコロナ関係で「集まる・集塊」などかと想像できれば「群発頭痛」は選べるのでは。


●画像問題は相変わらず多い。
 やはり117回も画像問題が多かった。この傾向は今後も続いていくだろう。画像問題の対策は、国家試験の過去問10年分くらいを繰り返し行い、すべての画像の特徴を暗記してしまうことが近道である。今回も、過去問と同じような画像が多く出題されているからだ。  

 以上が、私の117回医師国家試験の分析・総括だ。
 来年に向けて、日ごろから確実な知識を身に付ける勉強を続けていただければと思う。

 頑張れ!
 

 

Dr.はやと

受験生の皆さん、お疲れさまでした。日々積み重ねてきた自分の真の実力を発揮できたでしょうか。雪や寒波の到来で大変だった地域もあることでしょう。まずはからだを芯から温めて、春からの医師生活に備えるべく感染対策には十分に気を付けて羽根を伸ばしてください。

 まず産婦人科は唸るような新しいタイプの問題が複数みられた。
A30「妊産婦DICに投与すべきもの」、C54「胎児に一過性の徐脈が出現した際にまずする対応」、C55「分娩対応(難しすぎる可能性)」、D32「乳癌治療方針決定のため今後行う検査(これもけっこうな難問」)、D60「子宮肉腫の発生と最も関連が深い事象(こんなん知るかい!という受験生も多そう)」、F40「子宮体癌治療後に生じるリンパ浮腫」、F71〜73連問の「経口避妊薬服用中に発生した肺血栓塞栓症」など、そしてE30では子宮頸管無力症の問題で頸管縫縮術(必修としてどうなのか?という疑問はある)がついに正解選択肢になったとして一部では話題沸騰している。
 

 
また、女性医学学会では何かと話題になっている女性アスリートの健康問題もE3「やせ・続発性無月経のアスリートで注意すべき合併症」として出題された。

 その一方で、リベンジ問題も顔を出し、C59「前置胎盤の警告出血」は112B30(作成者の指示した模範解答は1択であったが、厚生労働省より2つの正解選択肢が発表された)の編集・改良した問題とみられる。新作や改変問題も受験生にとってイメージすることがかなり難しい問題もあれば、柔軟に対応できるような解きやすい問題もあり、除外されそうな問題候補もいくつか見受けられるが、難易度としては顕著な変化はみられないように感じた。ただし、出題のバランスにはかなり偏りがみられた。C問題では産科問題ばかりで婦人科問題が皆無であったのに対し、D問題では婦人科問題が多くを占め、純粋な産科問題はまったく見られなかった。これには受験生も戸惑ったのではないだろうか(逆にヤマを張りやすかったという考え方もあるのかもしれない)。
 



第116回  医師国家試験を振り返って


 Dr.りょう
 116回医師国家試験を受験した皆さん、お疲れ様でした。試験が終わって数週間経過し、きっと今頃は羽を伸ばし次のステップへの準備をしていることでしょう。 すでに次年度に向けて走り始めている人もいるかと思うので、さっそく今年の医師国家試験を総括・分析してみようと思う。
 すべての問題を解いてみた印象を一言でいうと、『良問が多くなった』ということだ。 総合的な知識を問う問題が増え、しっかりと考えさせ、確実な知識がなければ解答を導けない問題が多くなった。 問題文のキーワードから一瞬で解答できるもの(いわゆる瞬殺問題)や、選択肢の消去法で解答できるもの、診断名が分からなくても選択肢から当然に選ぶことができてしまうものなどが少なくなっていた。
 また、誤りの選択肢も明らかに見当はずれなものが少なくなり、選択肢からある程度、正解を絞るということも難しい問題が多くなった印象だ。 これらの点から、受験生の皆さんは難しい(手応えがある)と感じたのではないだろうか?
 試験問題の質が上がることは、努力が正当に評価されることになるので、大変喜ばしいことだ。
一方で、いい加減な知識では太刀打ちできなくなっていることを考えると、より確実な知識を日ごろから得ることを意識した勉強を行わなければならなくなってきているとも言える。
では、詳しく分析し、今後の勉強方法(対策)を考えてみようと思う。


1.診断する能力(手順)を問うものが多い。

 訴えをもって来院した患者さんに対し、『どのようなアプローチ(検査など)で、どのように診断を得て、どのような対応をするのか?』を問う問題が多くなっている。 これは、医師になって行う総合診療科の外来診療のような、診断の順序を聞くもので、より実践的なものである。
 具体的には、問題文中で「まず、行うものはどれか?」「次に行うものはどれか?」、「さらに行うものはどれか?」などと聞かれているものだ。以前から救急外来などでの初期対応を問われることはあったが、それが一般外来診療での対応にまで広がってきた印象だ。
 『まず行う検査・処置は?』『次に行うことは?』『さらに行う検査は?』など臨床現場に出たときに、当然に必要なこと、考え方である。今までは、現場で身に付ける技術であったが、これが国家試験で問われるようになってきているのだ。なかなか手ごわい。
 
 今回の116回医師国家試験では、これらの問題が約30問あった。ちなみに10年前の106回医師国家試験で調べてみると15問程度。このことからも、今後、よりその傾向が強くなってくるだろうと思われる。実践的な問題で良問が増えることは喜ばしいことだが、机上の勉強だけではなかなか対策が難しくなってきている。
 では、これらの問題に対する対策はどうすればよいか?これがなかなか難しい。
まず、「実習を大切にすること」があげられるが、それですべては解決しない。(おそらく、この大切さに気付いたときにはすでに実習が終了していることが多いだろう)
 対策として、一番良いのは、臨床問題を解いているときになるべく、具体的に問題に登場した患者さんを想像することだろう。
 
 例えば、「30歳女性の腹痛」でも、独歩できたのか?救急外来にきたのか?はたまた、病院の入口で車いすを借りて車イスで診察室に入ってきたのか?前かがみになって入ってきたのか?どこを抑えているのか?吐き気があるなら口元を抑えているのか?などなど、診察室に入ってきたときの状況を想像すること。また、得られた検査結果や画像から、こんな感じだろうと想像しながら過去問を解いていくことが重要だ。
 臨床問題を解くごとに、新しい患者さんが目の前に現れて、診療・治療をイメージの中で行うことができれば最高である。実際に目の前に苦しんでいる患者さんを、いかにしたら救うことができるか?そこを考える力が必要なのである。
 このように考えてみると、本当に全力で患者さんを救いたいと思える人が合格できるという素晴らしい試験になってきているとも考えられる。


2.画像問題は相変わらず多い。

 最近の顕著な傾向であるが画像問題がやはり多くなっている。一般・臨床実地問題では特に顕著で116回医師国家試験では、画像問題は約90問あった。これは全体の約30%にもなる。これは落とせないし、対策をしっかりしなければならない。 すべての画像は難しいが、多くの画像は見ただけで、その疾患名がわかるレベルにしたい。画像を見て診断名が分かれば、極端な話、問題文を読まなくても解答を得られる問題も多いからだ。
 
 では、どのように画像問題の対策をすべきかであるか?
 あくまで、合格するためにはという話であり、国家試験で満点をとりたい人は聞かないでほしいのだが、私は独自に画像の参考書やアトラスなどを購入して勉強する必要はないと考える。(ただし、皮膚科は過去問だけでは足りないので、アトラスを見ておくべきとは思うが。)
 国家試験の過去問10年分くらいを繰り返し行い、すべての画像の特徴を暗記してしまうことが近道である。
画像の内容を検討すると、以前は過去問とまったく同じ画像が出題されることがあったが、さすがに同じ画像はなくなった。しかし、それでも過去問と同じような画像の出題は多い。
 

 例えば、 116A23112A16できちんと見ていれば細胞質にアズール顆粒、Auer小体を認める細胞の増加を認めることから『急性前骨髄球性白血病(APL)』であることがわかるので、治療法を聞いている問題は瞬殺であった。
 
 
116D65114F43103D54などをきちんと見ておけば、少なくともマクロファージがなんか貪食していることがわかるので、『血球貪食症候群』ということがわかり、フェリチンが上昇する疾患としてまとめておけばおのずと解答は導ける。
 
 
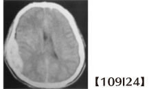
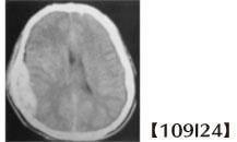
116D71も、血腫の形が三日月型か凸レンズ型の違いだけでだが、 109I24でしっかり検討していれば問題ない。
 
 

とにかく過去問で出題された画像はすべてチェックすることは最低限、必要である。それが全てできたら、独自のアトラスなどで勉強してみてはいかがだろうか。
 
 
3.公衆衛生は過去問にプラスαを。

 公衆衛生は、社会の最新の問題を細かく聞いてきている印象だ。
社会保険制度(B10)、地域保健医療(C5)、労働災害(C32)、出産・育児(C35)、労働安全衛生法(E20)などまんべんなく問われている。
特に労働災害や労働安全衛生法関連問題などは、細かいことを問われていてなかなか難しい。
 
 普段から時事ニュースをチェックしておくことも重要だが、問題を解くセンスも必要だ。 例えば、「健康の保持増進のための措置について誤っているのは?(E20)」の問題では、「健康についての措置なので、従業員の人数で判断するのはおかしい。全ての事業場で必要なのでは?」と考えを巡らせれば解答に近づける。
 いずれにしても、公衆衛生は過去問だけでは対応できなくなっていることは確かだ。
また、問題数も多くなり、その比重が大きくなってきているので、早めの試験対策を行いたい。
公衆衛生の対策が後手に回ると厳しい結果となってしまうため、マイナー科目の一番手には勉強を始めることをお勧めする。今後、公衆衛生で合否がわかれる可能性があるからだ。
 
 
4.常識を忘れない。

 より実践的で臨床的な問題が多くなっている影響で、「そりゃそうでしょ」的な常識ある対応を問われる問題が少なくなってきている。以前からあるいわゆる常識問題というものだ。
とはいえ、少ないながらもまだ出題されてはいるので、この分野での取りこぼしは危険だ。
この種の問題については、あまり考えすぎずに素直な心を持ち、変に裏を読まないことが大切である。
木を見て森を見ずにならないようにしたい。
 
具体的には次の様な問題だ。
116D21の「緊急大動脈弁置換術の適応とならないものは?」。これは冷静に考えれば「昏睡状態の患者さんに行うのか?ましてや緊急で?」と、考えればわかる問題である。
116B30の「80歳の患者さんが夜中にトイレに行こうとして転倒した対応」を問われている問題も、「離床センターの使用」を素直に選ぶことができるのではないかと思う。
116B46の「医師の説明で省略できるものは?」の「研究段階の医療の概要」も落ち着いて考えれば問題なく選ぶことができるのでは。
 このような常識的に考えれば正解を導ける問題は、ほぼすべての受験生が正解するため、取りこぼさないことが非常に重要である。
 おそらく大丈夫だと思うが、もし間違えてしまう可能性があるとすれば、国家試験会場という特殊な場面で周りが見えなくなってしまう場合である。そのための対策として、場慣れということを考えると模試などを受験しておくことも必要かもしれない。
 
 
5.心を問う問題は少なくなってきているが。

 今回の医師国家試験では、医師または人として患者さんに対してどのように対応・行動するかという心を問う問題が少なくなっていた。少し寂しい気がするが、問題の分量配分の関係で仕方がなかったのかもしれない。
具体的には、「末期がんの患者さんへの寄り添う態度」、「プライバシーに配慮する行動」、「せん妄や認知症患者への人権を尊重する対応」、「検査拒否の患者への対応」、「問題のある研修医の言動」などだ。最近の傾向としてはこの手の問題は増加していたので、ちょっと意外ではあった。
 それでも、悪い知らせの伝え方(E50)など、出題はされてはいたので、今後も引き続き、注意はしたい。ただし、これも特別な対策は必要なく、過去問対策だけで十分だと考えられる。
 
 
6.計算問題対策は今まで通り。

 計算する問題は、5問出題されていた。これらについては、尤度比の計算などを含めてどれも特別な対策はする必要はないと感じた。新作の問題も、その場で落ち着いて計算すれば問題なく解答を得ることができるものであった。
 今回、問われることはなかったが、次回以降の対策として改めて、過去問で問われている「肺胞気―動脈血酸素分圧格差(A-aDO2)」、「BMI」、「呼吸機能検査関連」などの計算問題は確実に解答を得られるよう準備をしておきたい。
 
 
7.英語問題対策は特に必要なし。

 今回も英語の問題が数題、出題された。今後、問題数が増加するかは分からないが、引き続き何問かは出題されることは確実だ。
では、どのような対策をすべきであるか?これも特別な対策は必要ないと考える。
英語の内容は中学生レベルであり、文章だけでなく画像があることが多いので、画像からだけでも解答を導けるからだ(そのように考えると画像診断がより重要であるともいえる)。

 例えば、116A61はMRI画像から脳梗塞であることがわかる。問われているのは心電図の診断であるので、脳梗塞を起こす可能性のある心電図の異常を考えれば自ずと正解にたどり着ける。
116E38は、21歳の若年男性の2週間前から悪化する(突然発症でない)胸痛であることがわかれば診断は絞られる。この問題にもレントゲン・ECGがあるので、問題なく解答を得ることができると思われる。
 英語の問題だからと特に意識して区別せず、きちんと日本語で勉強をしていれば対策としては十分であると考える。

 以上が、私の116回医師国家試験の分析・総括だ。
 来年に向けて、日ごろから確実な知識を身に付ける勉強を続けていただければと思う。
頑張れ!
 
 

Dr.はやと

 産婦人科問題に関してはオーソドックスな問題と新しいようなタイプの問題がちりばめられていた。 昨年は卵巣悪性腫瘍各論が複数問出題されて度肝を抜かれたが、今回は典型的な卵巣癌や子宮体癌、子宮頸癌の出題がなかった。

 その一方で周産期に関しては助産師国試のような細かい分娩経過を問う問題もあり、GBS陽性妊婦の対応など新作もみられた。 労働基準法だけではなく育児休暇や就労について、さらに死産届に関してなど公衆衛生的な切り口でも新作がみられた。

 小児科はオーソドックスな問題が多かった印象がある。最近流行りの乳幼児の正常所見・異常所見・循環不全を疑う所見などは今年も出題された。そしてやはり感染症系からも複数問、出席停止基準やリンパ節が腫れる疾患などが狙われた。虐待に関しては違う観点から出題された。

 全体的に見渡すとアナフィラキシーショック系や伝染性単核球症、多発性嚢胞腎など同一疾患の問題が複数みられ、新型コロナウイルス関連を匂わせる問題も複数問みられた。また、最近必ず顔を出す英語問題も少なくとも3題みてとれた。

 今年は臨床問題や臨床連問の部分で突然字体の変更があったり、謎の行間やスペースなど例年ないような違和感を覚えたこともたしかである。また、選択肢も実に微妙で日本語の問題であったり、解答を決めきれないような難問、いわゆる割れ問になりそうな問題も多そうで、受験生の皆さんも苦労した問題が例年よりやや多かったのではないか、という印象を持ちました。

 

第115回  医師国家試験を振り返って


 Dr. 東田による講演(第115回の総括と第116回に向けての提案)
 
 
 

第114回  医師国家試験を振り返って 


 Dr. 東田による講演(第114回の総括と第115回に向けての提案)

講演「第115回医師国家試験に向けて(第114回医師国家試験を振り返って)」Dr.東田(44分)

 

 
 
Dr.K 

 第114回医師国家試験を受験された皆さま、お疲れ様でした。

 試験当日にMACに寄ったら、東田先生、はやと先生らが問題を解いていらして、私も加わらせていただいた。今回の国試も、受験生に対して程よい厳しさと優しさがあり、資格試験のあるべき姿として全般に歓迎される内容であった。
 
 さらに今回、必修が比較的容易だったことは素晴らしいと思う。第111回のように、必修で獣を罠にかけるような悪問が出題されて必修落ちが増えた場合、受験生としてはどれだけ優秀でも番狂わせで落とされる恐怖が生じ、いくら国試対策をしても安心できず、ポリクリ中でも国試対策問題を解いて目の前の実習が疎かになり、本来のポリクリ重視のための必修導入の意義が本末転倒になっていた。  

 これからの国試はむやみに低学年から対策せずとも、6年春~夏までは実習やクリクラに専念し、じっくり医学的素養を涵養し、その後に国試対策をすれば十分だしその方が合格確率も上がるだろう。ただ、国試対策にはコツがあり、孔子の言う「学びて思わざれば則ち罔し(くらし)、思いて学ばざれば則ち殆し(あやうし)」を意識すべきであろう。以下に詳述する。
 
「学び方」としては、あやふやな知識は無いのと同じで、いい加減にではなくカチッと覚えないといけない。膨大であるから、病態生理からアプローチしたり、ゴロを活用したりも有効であり[1]、縁があればイメージやこじつけによる覚え方も伝授したい。状況記憶も重要であり、ポリクリで体験すること自体が記憶に残る。今回、不合格だった方は勉強仲間を募って時々、出題し合うことが大事だと思う。独りでやるより印象に残るしモチベーションも高まるから。
 
 また、iPad動画等で勉強する人も増えたが、それを中心にするのはどうかと思う。ペンフィールドのホムンクルスで知られるように、脳は手に対応する領域が多いため、板書等で手を使うこと自体が頭を使うことになる。加えて、スマホ学習等で視野が狭いと記憶に不利になる(詳細は「記憶 視野」等で検索されたし)。もちろん、補助的学習としてネット動画を活かすことを否定はしない。

 「思い方」は東田先生のおっしゃる「思考力」と重なり、なかなか一朝一夕にはいかないが、例えば医療のゴールデンスタンダードは「非侵襲的な検査・手技から侵襲的へ」という流れであり、臨床問題を解く際に、今はどのフェイズなのかを意識しよう。また、文章から情景をイメージできることも大事である。114E50の癌治療の状況説明では、その光景をイメージして、ポリクリで自分が見た光景と対比できましたか? これが苦手な人は小説を多く読もう。

 加えて、①:知識がなくても常識的に解ける問題、②:知識があるのに思いつかず解けなかった問題というのが本番で生じるが、①を増やして②を減らす訓練が必要である。①に関して、114D17(分娩合併症)や114D30(RAの生活指導)は産婦人科やリハ科の知識がなくても常識的に解ける。こうした問題が解けないなら、上述したように仲間と学習して自分の性格的な癖に気づいて修正する必要がある。

 ②に関して、個人的には114C34を間違えた。女性化乳房は女性ホルモン/男性ホルモン比が上昇して生じるため、肝硬変(女ホ↑)と精巣腫瘍(男ホ↓)は良いが、もうひとつをドパミン受容体拮抗薬でなくACTH単独欠損症を選んでしまった。PRLに関しては「PRL↑↑→ GnRH↓→ ゴナドトロピン↓→男ホ↓」というくらい、PRL ↑↑がないと、女性化乳房は認めない [2]。それが頭にあったことと、ドーパミンがPRLを抑制することは自ら論文に書いている(甲状腺癌が女性に多い理由とPRLの関係について [3] )のに失念していた。「ACTH↓ → 副腎刺激↓→ 男性ホ↓」を優先したからだが、思い返してみれば授業で自ら「男性の男ホのうち副腎由来はわずか5%」と言っていたのに忘れていた。こうした誤りは、試験を解いている自分、論文を書いている自分、講義している自分が乖離していることが原因であり、自己同一性を保持するためにも情報を一元化することが望ましい。一つの予備校についていくとか、あちこちの媒体をつまみ食いするなら自分のまとめノートに情報を一元化するなど。

 上記の小説に関して補足。今回、残念だった人は、いきなり勉強をリスタートするより、本格推理小説を犯人やトリックを自らあてるつもりで読むといいと思う。東田先生が「臨床問題は因果関係でなく果因関係だ、名探偵コナンと一緒だ」と話されたり、診断の神様が本の序文で「医療従事者はどこか探偵的で…」と書いているように [4]、臨床問題を解くというのは、結果を元に原因を探る作業に近いからである。えっ? 何から読んでいいかわからない? じゃあ、『斜め屋敷の犯罪』か『屍人荘の殺人』あたりから。

 なお、MACのホームページから「Topics」→「医学の勉強の仕方」の動画も参照されたい。私も出てますよ(⌒・⌒)ゞ。


[1] 自著「Dr.Kのスーパーフレーズ」(絶版w)等
[2] https://www.ncbi.nlm.nih.gov/pubmed/10770986
[3] https://www.ncbi.nlm.nih.gov/pubmed/30593422
[4] ティアニー先生の診断入門 第2版 医学書院
 
 

Dr.はやと

  国家試験受験生の皆さん、おつかれさまでした。国家試験当日のディスカッションに本格的に参加させていただいたのは今回が2回目でしたが、東田先生やDr.K、スタッフさんらとともに有意義な時間を過ごさせていただきました。

 いきなり初日のA問題では面喰いました。メジャー領域は比較的オーソドックスな問題が多いように思えましたが、新傾向のような問題が顔を出し、特にマイナー領域は難しい問題が多いように感じました。産婦人科の問題でも解答に難渋するものがいくつかありました。逆の見方をすれば、A問題以降は解きやすかったのではないでしょうか。必修問題(B、E)はいわゆる割れ問を除いては重箱の隅をつつくような奇問珍問はなかったように思います。最初に難易度の高い問題が揃って出されて心が折れないか、まさに受験生諸君のメンタルが試されているような構成でした。

 まず一番驚かされたのが英語問題です。以前は必修に一題だけ英語問題があるというのが国家試験の定説でしたが、114回医師国試はA31に登場して英語に拒否反応がある受験生の悲鳴が轟いたのを皮切りに、D63、E35、F22(F22は純粋な英語問題ではありませんが)と一気に英語が大挙押し寄せました。これは日本人医師の英語離れに警鐘を鳴らしているのであろうと思います。昨今の医療界は結局、論文で評価されるものです(この体制もどうなのか、と私は疑問に思いますが…)。大学の医局に属しても英語論文を書かない、そもそも英語論文を読まない。地方の病院に属すものであれば尚更です。その予防措置として大学によっては入学時、もしくは在学中のTOEFL、TOEICの点数獲得が必須となっているという情報も聞こえてきています。英語を甘くみないでほしい、という厚生労働省のお達しが見え隠れしています。少なくとも英語に拒否反応を示すのは避けた方がよいでしょう。

 さらに虐待や児童相談所に関する問題もB5、F13、F57と出題されました。法律改正直前の事項にはやはり注意を払うべきでしょう。あとはとにかく薬剤に関する問題が飛躍的に増えたということです。薬剤の継続使用や副作用に関して、それだけでなくそれぞれの薬の適応や効果・作用等も問われるようになってきています。薬への知識は深めるべきかもしれません。

 最後にCBTの聞き方のような問いもいくつか目にしました。「やらない検査はどれ?」「選ばないのはどれ?」のような、答えに明確な意味はそこまでないのだけれど、問いに対して的確でないためしょうがなく選ぶ選択肢というような類のものです。これにはやはり検査の意味を知っていてほしいということや、鑑別疾患の大切さを物語っているのは明白です。

 最短6年間で積み上げてきた情報量をどのように引き出すか、それには机上の勉強だけではなく訓練が必要です。問題を解くうえで、あるいは勉強会等を通じて『自分の中にある引き出しをうまく開けることができるのか。』それが最大のテーマであると私は考えています。