Medical Academy Corporation

Topics

HOME | Topics | 第120回国試を振り返って

医師国家試験を振り返って

第120回  医師国家試験を振り返って


 
 Dr. 東田(第120回国試を振り返って)
 
 
 
 
 
 
Dr.りょう

120回の医師国家試験を受験した皆さん、お疲れ様でした。
今年は外野がややうるさく、またインフルエンザも猛威を振るっており、いろいろ大変な受験だったと想像します。
本当によく頑張りました。まずは、少しでも身体を休めてください。
私の方は、早速だが、今回の国家試験問題を振り返ってみたい。
 
 
今回の国家試験をすべて解き終わった私の感想は、『意地悪だな~』である。
 
原因はずばり、A問題が難しい。終わってからなら何とでも言えるが、A問題には、新出問題・画像や超久しぶり問題が出題されていて難しかった。初日の緊張感の中で行うA問題にそのような問題が出題されていると、心が揺らいでしまい、その後の解答に影響を及ぼす。スタートからリズムに乗れず、もやもやした状態を受験生に引き起こしていた。本当に『意地悪』だった。
 
「医師国家試験は全問正解を目指す試験ではない!」、「これはみんなできていないから」と割り切って解答し、基礎的な問題を確実に正解していくことができたかが例年以上に重要であったと感じる。
 
A問題難化の代わりと言っては何だが、B問題は易しかった。全問正解とはいかないまでもかなりの高得点が見込まれたと思う。ただ、受験生の心理としては、必修問題と一般問題は色分けされているため、まだまだA問題からの復活とはいかなかった。
そこで、「C問題を頑張るぞ~」と、C問題。ところが始まったすぐに『眼軸長』や『高齢者世帯のうちの単独世帯の割合』など、ことごとく受験生のリズムを崩させる配置であった。繰り返すが、本当に『意地悪』だ。
 
1日目(特にA問題)を引きずらず、リフレッシュして2日目を受験できたかも医師国家試験のポイントであった。2日目(D、E、F問題)は、総じて例年並みの難易度であった。リフレッシュした状態で、問題文を落ち着いて読み、解釈すれば、確実に正解を導けて行けたのではないかと思っている。1日目の『意地悪』をうまく乗り越えていれば、問題なかったのではないか。
 
私は医師国家試験合格へは、受験2日間の「心のリズム」が重要だと思っている。受験生はみな、十分な勉強をして、十分な知識を持って試験に臨んでいる。そのうえで合否を分けるのは、自分の知識の倉庫の中から、受験会場で上手に引き出せるかということだと考える。いわゆる『実力を発揮できるか』ということだ。
自信のない問題が出現すると心が揺らいでしまい、そのあとの解答に影響を及ぼすことがあるが、平常心で心のぶれなく一定のリズムで2日間を過ごすことが合格への近道だと考える。
 
今回は、そのことを重点に120回の問題について、気が付いた点を何点か記載したい。
 
 
●公衆衛生を得意科目にすることが合格への近道!
例年通り、公衆衛生分野の出題が多かった。毎年毎年、公衆衛生は大切だと言ってきたが、いよいよ真剣に考えなければならない領域に入ってきた。臨床問題の3問目などにも出題されており400問中70題弱が公衆衛生分野の問題であった。その割合は20%弱にも及ぶ。もはやメジャー以上のウエイトだ。
A、D問題ではほぼ出題されないがB、C、E、F問題で多いというのも例年通り)
 
公衆衛生分野の問題は知識問であるため、割れ問になることはあまりない。正解できるかは、知っているか知らないかの2択になる。そのため、正解は確信をもって選べるため、そのあとの問題を心理的優位に進めることができる。他分野の迷い問題などがちりばめられたなかで、公衆衛生分野で自信をもって確実に正解を選んでいくことが出来れば、これほど心強いことはない。
 
今回も、比較的多く出題されたF問題では、開始10問目までに5問が公衆衛生分野の問題として出題されている。その全てに確信をもって解答できれば、F問題全てに影響を及ぼす心理的優越を得ることができたと考える。すなわちリズムに乗って解答することができたということだ。
是非、公衆衛生の勉強に時間を十分に割いてほしい。公衆衛生を得意にし、得点源にできれば、合格に格段に近づくことになる。
 
ただし、近年の公衆衛生分野の知識を得るためにはより幅広い知識を求められているので注意が必要だ。
少子高齢化が問題となっているため、介護保険をはじめとする高齢化関連の問題が多い傾向はあったが、地球環境変化(C5)医師の働き方改革(E27)オンライン診療(F9)DVの通報先(F20)など、今時の問題も出題されている。
 

 
法律問題や行政問題など今後も公衆衛生分野の問題は多くなり、より幅広い知識を求められる可能性がある。ぜひ、十分な時間をかけて対策をしてほしい。公衆衛生は、もはやメジャー科目の1つである。
 
 
●過去問にこだわることが合格への近道!
これは、今さら言うべきことではないか。国家試験の最高の予想問題は、過去問である。
 
分子標的薬(チロシンキナーゼ阻害薬)の副作用(120A6と113A4)腹部膨満感を訴える肝硬変患者への対応(120D74と111D52)など、過去問とそのまま同じように問われることも多い。このような問題は瞬殺してリズムよく解答を進めたいものだ。

 

 
今回も、新出問題があったとはいえ、過去問で問われていることを確実に解答することが出来れば、合格基準に十分に達することができた。過去問演習には十分な時間をかけてほしい。
勉強法のお勧めは、各科の過去問がまとまっているものではなく、実際の問題(ABCDEF問)をすべて解く演習を繰り返してほしい。その時に、正解肢だけではなく、誤りの選択肢からも勉強のはばを広げていっていただければと思う。直前期は毎日1年分の400題(600題)を解くことを繰り返し、10年分を3週、30日間で回せれば完璧だ。(公衆衛生分野の問題などは情報が当時のままなので注意が必要)
 
次から次へをいろいろな分野の問題が押し寄せてくる演習を日頃から繰り返すことにより、自分の知識の倉庫から引き出してくることを訓練しておくことを目指して。
もちろん、そのためには自分の知識の倉庫に知識というものを蓄えておくことは言わずもがなだが。
 
 
●画像問題を得意にすることが合格への近道!
毎年のことだが120回の画像問題でも過去問と同じ画像が多く認められた。過去問学習の大切さを今一度確認できることとなった。
 
毎年、画像問題の対策は、最低過去問10年分は必ず行いたいと言ってきたが、検討するとできれば20年間くらいの画像は一通り見ていた方が良さそうだ。
新作の画像でも過去問と酷似しているものも多く、過去問の画像の特徴を暗記してしまうことが合格への近道である。そのうえで、暗記した画像から他疾患へ知識を広げていければより深い学習ができる。
 

  • 同一画像

120A30と109D31【血気胸】
120A22と104E55【良性発作性頭位眩暈症】
120A43と105G54【アカラシア】
120a56と112D22【乳腺線維腺腫】
120D37と116A62【膜性腎症】
120D34と111I72【口腔内カンジダ症】
 

  • 酷似画像

120A48と105I63【肺胞蛋白症】
120A66と107D24【ヘルペス性角膜炎】
120C62と105I30【多発性硬化症】
120D24と104I72【丹毒】
120D44と106D33【閉塞性肥大型心筋症】
120D65と106A49【壊疽性膿皮症】
 その他多数。
 
 
●研修医では当然の知識を得る努力をすることが合格への近道!
今回の国家試験でも3例の医療事故が発生した(B44、C45、E39)。医療事故は残念ながら0にはできず、突然にやってくる。研修医になり1人でいるときにも当然やってきてしまう。臨床現場ではいろいろなファクターが絡み合い、本当に正しいことを見失う可能性もある。ぜひ、しっかりと学んでおいてほしい。
 
その他、研修医になるとその日から出くわすことも出題されている。ASTからの報告対応(B34)手術申し込み時の体位(D16)など。大腸手術では経肛門的操作が必要かにより仰臥位か砕石位かが決まるため麻酔科からの問い合わせに苦慮する研修医も多い。
アナフィラキシーショックの電話対応(F38)なども研修医の自分しかいない時間帯に問い合わせが来る可能性もある。ぜひ、しっかり学んでおきたい。
その他、自己血採血(C46)や縫合糸の抜糸位置(E17)血培採取(E6)など研修医では当然行う手技で、非常に臨床的な問題で臨床医の私からすると好印象であるが、学生の方々にはこれらの問題に対応することは、やや酷であるかもしれない(縫合糸の抜糸位置など、私は研修医のときに先輩から教えてもらった)。
 
研修医になり現場で身に付けることを、国家試験の問題に出題されるとなかなか難しい。臨床実習をもう一度振り返り、研修医になった自分をイメージして勉強してみると良いかと思う。研修医向けの本を1冊通読しておくことも良い対策になると思うのでお勧めだ。
 
 
●素直に解答することが合格への近道!
常々言っているが、医師国家試験合格を目指すうえでとても重要なことは『常識的に考えること』である。国家試験には、問題の裏をよんだりはせず、素直に答えることで正解を導くことができる問題がかなりある。
究極、これらの問題は全く勉強していかなくても正解できるものであり、毎年割弱出題されている。8割が合格ラインと考えると、この1割を確実に正解していくことは合格へ必須事項である。これらの問題は瞬殺し、余った時間を他の問題に使いたい。
 
 
これらの対策さえできれば、国家試験合格がかなり近づくので頑張ってほしい。
 
と、ここまで書いてくると、必ず下記のような質問がくる。
『新出問題についてはどのように対処すればよいのか?』また、『英語問題についてはどのように対処すればよいのか?』
 
それらの問い力強く、答えよう。『対策は必要ないと』
 
前述した対策を十分に行い、正解する問題を確実にものにしていれば、新出問題や英語問題を失ったところで合格できないということはない。それより、お話しした対策を愚直にしっかりと取り組んでみてほしい。
気が付くと、新作問題や英語問題にも対応できるようになっている自分に気が付くことができるだろう。
 
 
以上が、私の120回医師国家試験の分析・総括だ。
皆さんの日々の研鑽が将来、病で苦しむ人を救うことになる。問題文でない目の前にいる未来の患者さんを救うために、人に寄り添う気持ちを大切の持ちながら、勉強を続けていただければと思う。
臨床現場で待っています。
頑張れ!
 
 
 
 

Dr.はやと

今年も多分に漏れなくではあるが最強レベルの大寒波襲来で迎えた節目の第120回医師国家試験、地域によっては雪などの影響もあったようで体調管理も含めて大変であったと思います。本当にお疲れさまでした。120国試をざっと見ての感想を記します。
 
小児科は基本的に過去問レベルのオーソドックスなものが多かった印象です。やはり小児精神系の問題はかなりディープなことも含めて出題されており、小児系からの計算問題が近年頻発していると感じました。ワクチンは毎度お馴染みという出題頻度 C7C50 になっているので引き続き注意が必要です。虐待系の問題もF39で出題されました。
 

 
産婦人科に関してはいくつか驚かされた出題もあり、新しいタイプの問題も散見されました。
A問題から見ていくと、まず乳腺疾患では例年みられた乳癌のお決まりパターン的な出題がなく実に久しぶりに乳腺各論の問題、A56(乳腺線維腺腫)が登場しました。梅毒関連は今年も梅毒感染妊婦という形での出題A68は想定通りでしたが、切迫早産のいわゆる母体搬送が必要なレベルという一歩踏み込んだ必修問題、B38には驚かされました。


 

総論でも女性のC14(骨盤内解剖)は久々の出題でしたが、C24(日本の出生数低下の要因)C32(産後休業)に関しては、時代背景によるものもあるのではないかと感じました。
 

 

そしてついに出たと思わされたのがC38、その昔は妊婦に対して禁忌だったCa拮抗薬の投与、しかし現在ではむしろ速やかな降圧を狙って臨床で多用されており、ようやく医師国家試験に出題されました。しかしこの出題はある程度予想されたものであり119C43で妊娠前に高血圧でCa拮抗薬を内服しているという記述があったのを覚えていますか。この時は肥満もあったため体重の減量が答えになるような設問になっていましたが、今回ついにCa拮抗薬が答えになるような問題が出題されました。こういう意味でも過去問をやって終わりにするのではなく深読みもしなくてはいけないということでしょう。
 

 

C問題の中ではC46も目を丸くした問題で、今年の医師国家試験予備校の模擬試験に目を向けると「自己血輸血」に関する問題が多くみられていて、これはもしかして…という感触はありました。やはり模擬試験も受験することや復習の重要性を再認識したところです。
 

 
D問題で出題されたようなD70(GDM問題)は近年いろんな形で出題されていますが、複数選択肢になったことや「運動療法」という選択肢が存在したことに唸らされました。教える側としては毎回難しいと考えさせられています。
 

 

E問題では新手の問題としてE25が意外でした。今までも母体に対してのステロイド投与は珍しくありませんでしたが、実用や臨床に即した問題が増えているんだなぁと感心しました。やはりただ過去問を解くだけでは厳しいのでしょう。
 

 
最後にF問題、F6(我が国の中絶事情)に関しての問題はやや割れたのではないでしょうか。F57CPD(児頭骨盤不均衡)の問題も伏線があったことを忘れてはいけないところ。116C50CPDを否定しなくてはいけない問題が出ていたのです。これを見ていつかは逆にCPDを肯定する(CPDと診断する)問題の出題があるのでは?と考えられた先読み組にとってはラッキーともいえる問題でした。
 

 

また、純粋な英語問題としては昨年から1問減って4問(A49D11E37F11)でした。
 
 

 
Dr. 東田

 
120回医師国家試験受験された皆様、大変お疲れ様でした。
 
●全体の印象と対応
・かなり久しぶりの疾患・問題が目につく 過去4~6年の既出問題では不足・最低過去10年分の既出問題を学習すべき。
・逆に、既出問題にはなく、最先端の臨床に近い内容も選択肢にも含まれている。
・基礎医学、公衆衛生、基本的知識、臨床パターン問題から、複雑な臨床問題・思考力が必要な問題・新傾向問題・臨床最先端問題まで、問題の幅が広い 幅広い医学的知識・現場の臨床経験が必要(過去問の座学だけでは限界)
・公衆衛生はそれほど難しくないが、臨床と絡んで出題されている。
・概念や定義の問題も目立った。

 e.g. 不眠症(B04)
     生活習慣病のリスクを高める飲酒量(D12)
     健康寿命(C06)





・同じテーマが少なくないが、同じ疾患でも、設問設定が上手で、違う問い方で正解が異なる
過去問の丸暗記では対応できない。

 e.g.  COPD急性増悪(B42)

    GCA・IADL(B12)
    性早熟(C40)
 



 
 
 

●ブロック別特徴
・A:ちょっと考えさせるレベルの、やや難のものが少なくない。久しぶりの出題も多い。
・B:既出問題、パターン認識・知識問題・常識問題の易しいものも多いが、新傾向問題、ちょっと考えさせる問題も少なくない。難易度の差が大きい。
・C:やや易で、知識のみで解ける問題が多い。一般問題には公衆衛生が多い。基礎医学的問題も少し。
・D:知識問題も少なくないが、複雑な臨床問題や新傾向問題も多く、やや難の問題も多い
・E:基本的問題から臨床的・新傾向問題まで幅が広い
・F:基礎医学・公衆衛生・基本的問題から新傾向問題・難問まで幅が広い
 
 
●新傾向・臨床最先端問題
・小児科ではNICU新生児蘇生の保温(C67)虚血性脳症(D38)PICU脳性麻痺(A46)壊死性腸炎(A60)の問題が目についた。

・救急でも、銀杏中毒(A26)画鋲誤嚥(D17)・・・

・循環器では、HFpEF(D04)、TAVI、アブレーション、アミロイド心筋症・・・

・その他の科目でも、HIT(A55)ハンナ型間質性膀胱炎(A57)溺水肺(A65)緩和医療(A28・B16)自己血輸血(C46)Caによるチラージンの吸収抑制(C49)ラインによるケア(D10)GCAの検査(D18)

・過去問にはテーマになっていない疾患
 e.g. Sezary症候群(A39)
     PEG(A61)
     凍瘡(A63)
     ACP(C25)

・遺伝子関連の問題も多い
 e.g. 遺伝子治療(A03)
     X連鎖遺伝(B06)
    ミトコンドリア遺伝病(F40)
 
・分子標的療法薬・免疫チェックポイント阻害薬などに関する問題
 e.g. EGFRチロシンキナーゼ阻害薬(A06)
     成人Still病治療の標的サイトカイン(C66)
     免疫チェックポイント阻害薬(D62)
 
・過去問では対応できないような、きわめて臨床的問題
 e.g. 喉頭全摘後の所見(A29)
     軽症MRへの対応(A44)
     抜糸方法(B17)

 
 
●久しぶりの問題
A問題から・・
Peutz-Jeghers 症候群(A23)
副腎腺腫(Cushing症候群)手術後の対応(A27)
HBV感染の第一選択薬(A37)
乳び胸(A41)
食道アカラシア(A43)
脳性麻痺(A46)
Asherman症候群(A47)
肺胞蛋白症(A48)
NSAID喘息(A62)
ヘルペス角膜炎(A66)
単角子宮(A67)
 
 
●必修問題の特徴
・新傾向問題
 e.g. 患者中心型モデル(B01)
 
・きわめて臨床的な問題
 e.g. 抜糸(E17)
     風邪への抗菌薬(B30)
     超早期産のNICUへの搬送(B38)
     院内感染対策(E48)
 
・公衆衛生絡みの問題
 e.g. 障害年金(E29)
     身体障害者手帳(E40)
 
・医療過誤・インシデント
 e.g. B44・E39

 
 
 

第119回  医師国家試験を振り返って


 
 Dr. 東田(第119回の分析と気になる問題)
 
 
 
 
 
Dr.りょう

119回の医師国家試験を受験した皆さん、お疲れ様でした。
今シーズンはインフルエンザが猛威を振るっており、健康管理を含め非常に大変な受験だったと想像します。
本当によく頑張りました。まずは、少しでも身体を休めてください。
私の方は、早速だが、今回の国家試験問題を振り返ってみたい。
 
 
今回の国家試験をすべて解き終わった私の感想は、『リズムに乗りにくかった』である。
 
その原因はいろいろあるとは思うが、その1つはA問題のA3(高血圧性脳出血)だろう。例年、英語の問題は特に対策も必要なく、文章も難しくはない。今回のA3『高血圧性脳出血が最もよく発生する部位はどこか?』という問いで、正解『被殻』を導き出すことも容易であった。だが、さて被殻の英語は?となった。

 

ここですんなり各選択肢を翻訳し解答できれば良いのだが、自信のないまま進むとその後にモヤモヤを引きずってしまうことになった。
また気持ちよく解き進めていると、新しい切り口で作成された公衆衛生分野の問題が散りばめられて出現し解答を悩ませた。その他、臨床問題でも、暗記を中心とした1対1の短絡的思考では解答することができない問題があり、絶対的な自信を持ち続けて試験を終了できた受験生は少なかったのではないだろうか。それだけ、良問ぞろいであったということであろうが、なかなか手ごたえのある問題が多かった。
 
当然だが、医師国家試験は全問正解を目指す試験ではない。しかし、試験中に悩んだり、自信のない問題が出現するとどうしても心が揺らいでしまい、そのあとの解答に影響を及ぼすことがある。
新出の問題や難問を「これはみんなできていないから」と割り切って解答し、既出問題や基礎的な問題を確実に正解していくことが重要である。
今回の医師国家試験も、難問がところどころにあったが、一定基準の合格点を目指すことと考えると合格も決して難しくはないものであった。
問題文を落ち着いて読み、解釈し、確実に正解できる問題を確実に正解していくことが重要である。
その他、119回の問題について、気が付いた点を何点か記載したい。
 
 
●日常診療で役に立つ知識を問う問題が多い。
去年の総括では「外来診療での診断の助けになる問題が多い」と記載したが、今年も日常診療で役にたつ知識を問う問題が多かった。この傾向は臨床医としてはとても嬉しく思う。いくつかの問題を見てみたい。
 
まず、とても印象的合った問題を1つ。C52(インフルエンザ感染後の登園時期)である。この問題はとても臨床的である。まさに私が先程終えてきた外来の壁には『インフルエンザの出席停止早見表』が掲示してあった。
小学生以上なのかによっても異なり、また文章では理解していても実際の状況から判断できるかを問いた良問である。患者さんのお母さんから「何日から学校に行って良いですか?」で訊かれることは日常診療ではよくあることだ。
 

 
診察(問診)関係はE45(感染性疾患を疑った場合の問診)D67(アメーバ肝膿瘍の問診)が臨床的で良問だった。特に感染性腸炎の問診では、「同居する家族に同じ症状の人がいるか」や「職場、学校で同症状の人がいるか」、「海外旅行歴があるか」など、とても重要な問診となる。性感染症(特に同性間)が疑われる際の問診は、その聞くタイミングや声のトーンなど診療中に気を付けてほしいことでもある。研修医になった最初は問診しづらい内容と思うが、患者さんの診療には必須であり、また患者さんの背後にいる人を治療することにもなるので確実に問診してほしい。
 

 
外来診療をしていると、日本の高齢化を肌で感じることができる。高齢者が多くなってきたので、外来診療でも電解質異常(パニック値)に出会うことも多くなってきた。E8(高カリウム血症)について、今回は行うべき検査を問われていたが、治療方法まで確認しておいてほしい。腎機能低下や漫然と緩下剤を投与している影響でC71-73(マグネシウムの異常)にも出会うことがある。これらもとても臨床的な良問である。その他の電解質異常の原因、治療法を是非、今一度勉強しておいてほしい。
 

 
E41(造影剤アレルギー)F40(針刺し事故)も毎年出題されているが、これも忘れたころに臨床で遭遇することである。実際、私も針刺し事故を2回経験している。針刺し事故は流水で洗浄する対応のほか、必ずその日のうちに外来受診をして各種検査を行うことをしてほしい。労災申請を行うことになる可能性があるので大丈夫だと勝手に自分で判断しないように。造影剤を使用した検査は、造影剤投与10分以上経過した後にも副作用が出現することがあるので、要注意である。
 

 
この分野の問題の対策は、できれば研修医向けの本を1冊買って読んでおくと良いと思う。はじめての外来診療やはじめての当直本などには、問診、診察法、電解質異常への対応など、国家試験対策として役に立つ情報が満載である。本を読むと研修医になった自分を想像してモチベーションアップにもなると思う。
 
 
●暗記を中心とした勉強では解答に苦慮する問題があった。
これが今回、『リズムに乗りにくかった』原因の1つでもある。具体的に見てみたい。
 
A58(慢性膵炎への対応)では、慢性膵炎の診断をすることは容易であったが、その対応が難しかった。慢性膵炎への指導では過去問(112A73)に既出で、その時の正解が『禁煙』と『脂肪制限食』であった。では今回も『低脂肪食』を選べば良いかと言うと、この症例では過去問と違いアミラーゼ値が低値を示していた(112A73:Amy215U/L)ことを見逃してはいけない。この症例は非代償期の慢性膵炎と考えられ、腹痛も訴えていないため脂肪制限は行わず、消化酵素薬の投与が正解となる。
 

 
その他、D36(原発性胆汁性胆管炎)の診断でも問題文の症例では腹水貯留のため肝生検はできないこと、F65(胃・十二指腸潰瘍)の対応でも問題文の症例では露出血管がないためクリッピングは行わないなど。提示された症例を具体的に評価し、その状況にあった対応を選択する必要があり、これらはなかなか難問であった。より一層、深い勉強が必要ということではある。
 

 

この分野の対策は難しい。より深く勉強することは重要であるが、それには限度がある。究極、この手の問題は深追いせず、とれる問題を確実にとる方へ力を注いだほうが賢明かもしれない。
 
 
●臨床現場では当然だが難しい問題も
一度、臨床の現場に出てしまうと当然のことであるが、学生には難しいと感じるだろう問題が多く出題されていた。
 
E28(片麻痺がある救急患者の末梢静脈確保部位)は、まさに臨床的な問題である。麻痺側でない方で、緊急であるので確実に確保できる場所を選ぶことは救急分野では重要なことである。
その他、乳癌の手術側でない方から採血、静脈確保をすることも重要である。[腋窩郭清が少なくなってきたので将来的には気にしないで良くなるのかもしれないが]
E47(確保した点滴ルートを自己抜去されないよう固定する方法の問題)も非常に臨床的であった。臨床現場ではコメディカル(看護師さんなど)がいろいろと工夫してくれている。高齢の入院患者さんの多くなっているため、受験生もいずれ自己抜去には泣かされることがあるだろう。皆さんもいろいろ工夫してみてほしい。
 

 
高齢者の入院では、不穏予防や転倒予防なども重要だ。その点で、B38(転倒のリスクファクター)も良問である。スリッパをはいていると転倒しやすいため、病院によっては入院中のスリッパ、サンダルは禁止となっているところもある。
採血の手技でいえば、B18(動脈採血の場所)も良問。皆さんが研修医として、一番初めに動脈血採血をする場所はおそらく、この正解肢の場所であろう。
 

 
手技の分野では、F59(消毒を行う前に創部培養を提出する)など、とても当たり前のことだが良問であった。
抗菌薬投与前に血液培養をするなども抑えておきたい。
 

 
D25(手技時に着用する手袋でのラテックスアレルギー)もまま経験することである。検査室や外来には必ずラテックスフリーの手袋が置いてある。患者さんに検査前にアレルギーの有無を確認することも重要である。局所麻酔薬(キシロカインなど)やラテックスなどへのアレルギーの有無を問うことも重要でF64でも出題されていた。
 

 

検査の体位など、ちょっと盲点となる分野も出題されていた。B15(上部消化器内視鏡検査の体位)E6(腰椎穿刺法)である。臨床では当たり前のことだが、検査に立ち会うことが学生時代は少ないと思うので、今一度確認しておいてほしい。ちなみに下部消化器内視鏡検査も左側臥位である。
 

 
E14(長時間の砕石位の合併症)も非常に臨床的である。下部直腸の手術では砕石位をとるため、その固定時には神経損傷や圧迫などとても気を遣う。ちなみに、私は研修医の時、手術後に砕石位解除を麻酔科医につたえず行って怒られた経験がある。解除時には低血圧になるため、麻酔科医に確認してから解除してほしい。
 

 
周術期管理も研修医になったら当然のことであるが、学生の時代は難しいかもしれない。F46(血糖コントロール)は創傷治癒に重要、D3(早期離床)が合併症予防に重要など確認しておいてほしい。
 
研修医になり現場で身に付けることを、国家試験の問題に出題されるとなかなか難しいとは思う。臨床実習をもう一度振り返り、研修医になった自分をイメージして勉強してみると良いかと思う。先に述べた研修医向けの本を1冊読んでおくことも良い対策になると思う。
 
 
●公衆衛生はより広い知識を問われた
119回の1番の傾向は、より幅広い公衆衛生分野の知識を求められたということである。毎年、公衆衛生分野は重要度を増しているが、特に今回はその傾向が強かった。これも今回、『リズムに乗りにくかった』原因の1つである。
 
F18(保健所の業務)E10(チーム医療について)など、おなじみの問題もあったが、C1(健康日本21(第3次)目標)C24(SDGs)E3(医の倫理4原則)F53(トータルヘルスプロモーションプラン)など問われている範囲は多岐にわたり出題数も多かった。
 
幅広い知識を求められてはいるが、やはり少子高齢化が問題となっているため、介護保険をはじめとする高齢化関連の問題が多い傾向はあった。今後は、高齢者特有の疾患や高齢患者の現状・法制度などを中心に学習することをお勧めする。
 
B3(在宅医療)、B14(在宅医療・介護サービス)、C2(老齢人口の割合)、C5(介護保険法)、C7(介護保険について)、C13(医療保険で利用可能なもの)、C32(介護保険の主治医意見書)、C39(死亡診断書)、F21(従属人口指数)
 
その他、C27(薬害エイズ)C47(棺桶の二酸化炭素中毒)など、日常のニュースなどにもアンテナを張っていれば正解を導ける問題もあった。日頃から医療関係のニュースなどに関心をもって生活しておくと良いとは思う。
今後も公衆衛生分野の問題は多くなり、より幅広い知識を求められる可能性がある。ぜひ、十分な時間を変えて対策をしてほしい。公衆衛生は、もはやメジャー科目の1つである。
 
 
●画像問題対策は最低過去10年分必要
毎年のことだが119回の画像問題でも過去問と同じ画像が多く認められた。119回も問題文の文章、データなど全て過去問と同じ問題もあり(119A63110D25【仙腸関節炎】。119D64112D39【若年性特発性関節炎〈JIA〉】。119D68107D26【下咽頭癌】)過去問学習の大切さを今一度確認できることとなった。
 

 
毎年総括で述べている通り、画像問題の対策は、最低過去問10年分は必ず行いたい。新作の画像でも過去問と酷似しているものも多く、過去問の画像の特徴を暗記してしまうことが合格への近道である。
そのうえで、暗記した画像から他疾患へ知識を広げていければより深い学習ができる。
 
例えば、119D56107D42と酷似したCreutzfeldt-Jakob病MRI画像が出題された。大脳皮質に沿った広範な高信号域を認め、Creutzfeldt-Jakob病に特徴的な画像であったが、過去問学習時に他脳疾患のMRI画像もまとめてみると良いだろう。Wernicke脳症110I22103I52)や単純ヘルペス脳炎101A47110A22)などMRI画像で特徴的な高信号域を認める脳疾患がある。それらをまとめて学習することで、脳疾患のMRI画像問題は得意分野となるだろう。
このように1枚の過去問画像から派生して知識を広げる学習を普段から心がけたい。
 

 

また、画像診断の学習から、行うべき検査を問われた問題の正解を導くこともできるようになる。D61(リチウム電池を誤嚥した子供への対応)は、113D45で印象的な胸部エックス線画像を学んでいれば容易に解答を得ることができたはずだ。
 

 

  • 同一画像

119A23と113F52【結節性硬化症】
119D74と113A71【前置胎盤・癒着胎盤】(選択肢が同じ)
 

  • 酷似画像

119A48 と114A38【皮下気腫】
119A50 と109A11【進行性核上性麻痺】
119C49 と112F51Edwards症候群】
119D18と109D24【乳房外Paget病】
119D59 と105A31【肝門部胆管癌】  その他多数。
 
 
英語の問題対策は疾患名と病原体を中心に
今年は、英語の問題が5題出題された。英語の文章自体は難しくはない。そのため、特別な対策は必要ないと考えるが、日ごろから疾患名や病原体など英語に慣れ親しんでおきたい。
特に一般細菌やウイルスなどの病原体名は、日本語問題の選択肢にもなることが多いので、改めて確認しておきたい。
 
A3(空気感染する感染症)
前述した通り、解剖学的な英語の重要さを示す問題である。
B35(右下腹部痛の患者)
これも英文の内容は平易なもの。熱があって右下腹部痛があることは容易に判断できるので、実施すべき検査も問題ない。
C18(ヒト-ヒト感染しない疾患)
マラリアを読めれば容易。ただし、病原体名を今一度、全部復習しておきたい
F19(タンデムマス法)
問題文から「タンデムマス法を使用してのスクリーニング」を問われていることは容易。何らかの代謝異常であることを考えると解答はできる。
F25WHO憲章前文)
難しい問題のように感じるが、実は104B3と同じ問題。過去問対策で解答できる。
 
 
常識を働かせ、ひねくれない
119回医師国家試験に限ったことではないが、医師国家試験合格を目指すうえでとても重要なことは『常識的に考えること』である。国家試験には、問題の裏をよんだりはせず、素直に答えることで正解を導くことができる問題がかなりある。
究極、これらの問題は全く勉強していかなくても正解できるものであり、毎年1割弱出題されている。8割が合格ラインと考えると、この1割を確実に正解していくことは合格へ必須事項である。これらの問題は瞬殺し、余った時間を他の問題に使いたい。
 
繰り返すが、常識的に考え、素直に答えることである。
例えば、A68の「落ち着きのない子供の診察」など。常識的に考えて「抑えつけて診察」や「厳しく指示する」、「両親を注意する」などは考えられない。また処置も何もしないでただ再診を促すことは、臨床現場ではありえず、個人的にはそのような選択肢が国家試験で正解肢に選ばれることは極めて低いと考える。
そうなると正解肢は自然と浮かび上がってくる。素直に解けば良いだけだ。
 
下記に各パートでのこの手の問題があるので、その正解を導く考えを簡単に記載しておく。
 
・毎回行うべきでないとは一番大掛かりなものを選べばよい(A17
・結核の可能性があるのであるから自宅待機は妥当(A19
・甘いものを摂取すると改善するんだから血糖です(A30
 
・病室に倒れている患者を発見した時は、まず呼吸の有無を確認することは当たり前である(B26
・労働中に怪我したら労災である(B33
・子供の卒業式になんとか出席したいと末期癌患者にいわれたらみんなでなんとかしようと考える(B39
・やろうと思っているのだから準備期(B42
・手が震えているのだから振戦(B47
 
・問診を省略することがあるだろうか(C60
 
・水色をピンクと言っているので色覚検査(D20
・呼吸困難、喉頭浮腫があったら気道確保(D29
・ヘビースモーカーに息切れを認めたら禁煙した方が良いことを伝える(D46
・下腹部が張っていてエコーで膀胱に多量に尿があって尿道が造影出来ないならこれしかない(D55
・明らかに動脈性の閉塞である(D57
・癌の家族歴はリスクファクター(D66
 
・性感染症を疑う患者に聞くことは性交渉相手の人数(E4
・プロフェッショナリズムで自己の利益追求はありえん(E7
・慌てずに処方箋の錠剤個数を数えるのみ(E24
・薬剤投与で皮疹出現は副作用チェック(E25
・エネルギー必要量は活動性の違いが重要なはず(E26
・痛みがつらいとの訴えには疼痛コントロール(E34
・費用対効果を考えるには安さと効果なはず(E37
 
・親と受診した子供への対応ではあたりまえのこと(F44
・練炭を買ってきて自殺しようとしているとはかなり緊急性ありと判断すればあたりまえのこと(F48
・体重減少もない幼児食へ移行を試みている幼児への対応は焦らないこと(F51
・苦しくないよう、痛くないようにしてほしいと言っている人への対応(F74
 
挙げてみれば、どれも当たり前のことで、受験生は全て正解できることを前提に出題されているのであろう。ただ、このような問題が多く出題されたり、以前はなかった禁忌問題などが登場していることを考えると、当たり前の感覚を持たない医師が散見されてきていることへの警鐘なのかもしれない。自戒の念を持って、明日からの診療にあたりたい。
 
 
 以上が、私の119回医師国家試験の分析・総括だ。
 皆さんの日々の研鑽が将来、病で苦しむ人を救います。問題文でない目の前にいる未来の患者さんを救うために、人に寄り添う気持ちを大切の持ちながら、勉強を続けていただければと思う。
頑張れ!
 

 
 
Dr.はやと

大寒波の到来とともに迎えた第119回医師国家試験、受験生の皆さんは本当に寒い思いをされて大変だったかと思いますがお疲れさまでした。昨年第118回はボーダーラインが上がったことで大きな話題となりましたが、そもそも私はそんなに簡単になったとは思っておらず、学生さんのレベルの変化もあったと考えています。
 
まず小児科ですが、小児科は基本的にオーソドックスなものが多かったと思います。その中で小児マイナーとしての出題や、疾患そのものが不明な問題もゼロではありませんが、例年よりその数は少なかったと思われます。C75(Kaup指数)が久々に出題されたのはやっぱりな…と思いましたが、最後の最後にF75(Na欠乏量の計算)で出題されており、昨年の「新生児低血糖のブドウ糖液投与量の計算」に続いて小児科領域での計算問題が頻発しています。今年もA36(新生児マススクリーニングの問題)、ワクチンの問題は毎年テーマを変えて出題されていますが、今回もC53(5歳児に接種すべきワクチン)という形で登場しました。



出題が予想された川崎病はF54(川崎病)で登場しています。ある年を境に必ず複数問題散見されるようになった小児精神系に関しては、A6(むずむず脚症候群)D1(ADHD)E5(ナルコレプシー)が一般問題として出題されました。

 

虐待系の出題もC5C45でみられており、時代背景もしっかりと反映されています。今回もなかなか一筋縄とはいかないようで、過去問を解いているだけでは対応できないでしょう。
 

 

産婦人科に関しては、出題のジャンルや難易度が幅広い印象でした。複数年の医師国家試験の過去問を見てきた受験生であれば対応できるような問題がいくつかありました。D74前置胎盤113A71類題])やF57(褥婦に起きがちである産褥期うつ傾向113F63とほぼ一緒])がそれにあたります。
 

 
 

その一方で、臨床では当たり前だが、受験生にとってはなかなか届かないような知識というかセンス問題もあり、17卵黄嚢腫瘍の治療後フォローアップ)やA11(妊娠7週の腹腔鏡所見)、B20(妊婦が胎動を感じ始める妊娠週数)、F22(年間総出生数に対する母体年齢40歳以上の出生数の割合)などはとっつきにくい内容だったのではないでしょうか。
 

 

不妊症・不育症分野から今年は抗リン脂質抗体症候群から出題があり、それを含めてC34F37とコンスタントに出るようになったことは意識するべきです。
 

 

性感染症の出題もA42E4と複数みられました。B29(妊娠糖尿病系出題)C43E31(妊娠高血圧系の出題)も例年通りの出題でした。妊娠経過や回旋、対応を求める問題はそこまで難問ではなく、産婦人科に関しては、ほぼほぼ近年レベルと同様、もしくはやや平易だったかもしれないという印象です。
 

 

 
公衆衛生系も含めて総論としての老年医学系の問題が多く、介護系の問題や緩和医療系の問題も当たり前のように出題されていることは自覚せねばなりません。英語問題は純粋な英語問題としては昨年から1問増えて5問(A3B35C18F19F25)となり、問題の選択肢や病原菌だけ英語表記になっている問題も複数みられました。英語が苦手だから…という言い訳も成り立たないと思ったほうがよいでしょう。
 
 

 
 
 

第118回  医師国家試験を振り返って


Dr.りょう

118回の医師国家試験を受験した皆さん、お疲れ様でした。
いろいろ大変な思いで受験をした方も多かったかと思います。本当によく頑張りました。できれば少しゆっくり身体を休めてください。
私の方は、早速だが今回の国家試験問題を振り返ってみたい。
 
ひと通り、解き終わっての私の感想は、『より実践的な問題が増え、研修医への橋渡しになる問題が増えた』印象だ。
先輩医師である出題者の先生方から受験生の皆さんへの期待とメッセージを感じるとても良い医師国家試験問題であった。
 
これから臨床で出会い、診断するのは生身の人間であって、机上の人ではない。
知識はもちろん大切であるが、もっと大切であるのは医師として人を診ることだ。
学生の今までは問題文で『見る』ことが主体であったが、4月からは患者さんを『診る』や『看る』ことになるのだ。
 
今、ようやく国家試験が終えたところで、この先のことを言うのは申し訳ないが、このあと研修医になるとちょっと大変である。大学で臨床実習があったとはいえ、お客さんであった実習と、責任のある医師として臨床の場に出ることとは雲泥の差である。そのため、多かれ少なかれ研修医になったときには、皆、ショックを受ける。
それは、学生から社会人になったという事実と、医師として人の命を扱うという現場に出た事実が原因だと思う。
自分の力の無さを痛感し、幻滅し、涙することもあるかもしれない。でもそれは、より良い臨床家になるための大きな成長の証であることを忘れないでほしい。
今年の国家試験の問題は、先輩医師の誰しもが通ってきたそのショックを少しでも和らげてあげたい。
そんな先輩医師の暖かい気持ちのこもったよい医師国家試験問題であったと感じた。
 
繰り返すが、現場では、今まで机上の問題で出会った状況で患者さんとは出会わない。
問題文の患者さんはすでに必要な検査や画像が終わっているが、臨床では、診断のために必要な検査・画像を自分で判断し実施するのである。当然だが、身体所見の写真も与えられず、特徴のある身体所見を自分で見つけ出すのである。
そのうえで、自分の目の前にいる病める患者さんを診断し治療を行うのである。
そんな力を学生時代から少しでも身につけてほしいというメッセージが込められた国家試験問題であったように感じた。
 
そのほか、118回の問題について、気が付いた点を何点か記載したい。
 
●研修医のときに役に立つ問題が多い。
前述したように、研修医になったときに役に立つ問題が多かった。
F48(全身麻酔中のモニター変化への対応)などはまさに、その現場が目に浮かぶような問題である。
研修医として麻酔科にローテーションすると基本的には指導医と2名で全身麻酔管理を行う。
病態急変の多い麻酔導入時、抜管時は指導医とともに対応するが、研修に慣れてくると、手術中の安定した時は、研修医1人が手術室に残されて管理を行う(もちろん指導医は廊下の窓からや他の場所でモニターをチェックしているのであるが)。研修医の自分が一人、残されたときにモニターがF48問題の画像のように急変したときにどうするのかを問われているとても実践的な良問である。正解の人工呼吸器回路の接続はずれや、モニターのはずれは、実際にあり得ることである。
 

 

もちろん、研修時に急変など困ったときには指導医をすぐに呼ぶことが一番である。
F73(夜間救外での対応)のように夜間に救急外来で診療中に困ったときにはまず指導医に応援依頼をしてほしい。実際のF73のような臨床の場では、救急隊からの患者受け入れ要請連絡時には、すでに看護師から指導医には連絡がいっていて、救急車が来院したときには指導医もすでにスタンバイしているはずではあるが。



外科ローテーションも終盤になると研修医でも皮膚縫合の機会が与えられると思う。
そして実際に救急外来などでは自分で縫合することもあるだろう。B36(皮膚縫合後の指導)も実際にありうる良問だ。頭部外傷にて皮膚縫合したあとに患者さんに注意する点を問われている臨床現場ではあるある問題である。




これらのように研修医の時に役に立つ問題の出題が多かった。
では、これらの臨床問題に対してどのような対策をとるべきであろうか?
これは難しい。研修医になれば先輩の失敗談や経験談などを聞くことで学んでいくことができるが、学生の段階ではどうするべきか? 可能であれば研修医になった先輩に話を聞ければと思う。できなければ、初期研修医のための本が数多く販売されているので、それを見ておくことが対策とてしても、将来の自分をイメージできてよいかもしれない。
 
●外来診療での診断の助けになる問題が多い。
市中病院で一般外来をやるときに役に立つ知識を問う問題も多かった。
D6(成人男性の急性腎盂腎炎の原因)、E6(我が国で65歳以上の患者で最も多い疾患)などは外来診療をやっていれば肌で感じることである。確かにこれらを前もって知っていれば、外来診療に大いに役に立つ。
E7(鼻咽頭ぬぐい液の採取手順)は新型コロナウイルス感染症拡大以前から、インフルエンザウイルス感染確認のためには必須の手順である。外来診療を行う臨床医として知らないことは許されない手技の一つである。

 
●救急車の出動が多かった。
 例年に増して救急車出動の問題が多かったように思う。
すなわち、救急外来で診る疾患の問題が多かった。特に交通外傷を含む外傷に対する対応・処置に関する問題も多く、これも国家試験の問題の内容がより実践的になってきていることを表している。
 
B35(交通外傷)、C40(被災地のトリアージ)、C50(交通外傷)、C66-68(交通外傷)、F64-66(高所からの転落)
 
外傷は健常人でもドラマチックな病態変化を引き起こす。引き起こされている病態を迅速に把握し、それに対して的確な処置が必要となる。循環動態を安定させることが先決であるが、同時に、循環動態の悪化を引き起こしている原因を見つけ出し、改善することを行わなければならない。
分単位で迅速な対応を求められる分野で、その場で勉強している時間はない。研修医になって「自分には関係ない」と思っている人にこそ、このような緊急対応を求められる症例がやってくる。緊急時には指導医をはじめ多くの人を呼ぶことが重要であるが、もし自分一人であったときはどうするかと考えながら勉強をしていくと将来、必ず役に立つ日がやってくる。救急疾患も今一度まとめて知識を整理しておきたい。
 


 

●画像問題が少なかった。
例年に比べ、画像問題が少なかった。しかし、これは画像問題が重要でなくなったというわけではない。より実践的な問題が多くなったことによる影響と考える。
少なくなったとはいえ、これは一時的な傾向と考えられ、次回以降もやはり画像問題は重要ということに変わりはない。今回も過去問と同じ画像が数題、出題された。A15(急性白血病)112E41A45(掌蹠膿疱症)109A25D56(球脊髄性筋委縮症)108D30と同じ画像であった。
これらのことを考えると過去10年間に出題された画像をすべてチェックすることは続けていただきたい。全く同じ画像ではなくても特徴的な画像は繰り返し出題されている。
 
将来的には、与えられた画像から考えるのではなく、必要な画像を自分で判断し、その画像から患者さんの病態を考える力を問われる問題が出題されるかもしれない。問題文から必要な画像検査を選択させ、それぞれ選択した検査の画像から正解を導き出すような問題形式が出てきたら面白い。




●公衆衛生関連問題もより実践的に。
A31(左不全片麻痺患者のサポート)、B1(採血できる職種)、B48(社会保険制度の説明者)では医師以外の国家資格者の臨床現場で行えることを問われた。患者さんへの医療は医師をはじめ、医療従事者が協力して行うチーム医療である。医師が他の医療従事者ができることを理解しておくことは非常に重要となる。今一度、確認しておきたい。




産業医分野からの出題もより実践的になってきている。C48(片麻痺の職場復帰)は産業医として復帰時面談で考慮することで実践的な問題である。C53(調査の研究デザイン)でも、実際の状況が提示されており、ただ単に調査研究を問われていることよりもより臨床的になっている。
その他、公衆衛生分野は過去に問われた問題が多かった。公衆衛生分野は相変わらず、過去問演習が重要で合否を左右する分野でもある。必ず、十分な時間を公衆衛生の勉強に充ててほしい。




 

●英語の問題は特に対策必要なし。
今年は4題出題され、組み合わせ問題が初めて出題された。少しずつ難しくなってはきているが、特別な英語を勉強しなければならないようなものではなく、英語問題対策は特に必要ないと考える。
A50(脛骨神経麻痺)
左大腿骨頸部骨折で入院中に左足の動きが悪くなってきた原因を問われていることは分かる。それが分かれば解答は容易であろう。
B13(重症熱傷後の病態)
重症熱傷について問われていることが分かれば正解は容易にわかる。
E4(癌のリスク)
Sodiumがナトリウムとわかれば、肺癌とナトリウム?となるか。
E28(血小板減少症の意識混濁)
CTを撮影してくださいというメモを持っているのだからCT撮影を行うだけだ。
 
 
以上が、私の118回医師国家試験の分析・総括だ。


最後に。
今回も去年同様、A問題前半が解答しやすい問題が並んでいた。
緊張感マックスの初日午前はこれからも受験生に優しい問題が並ぶことを切に希望する。

来年に向けて、日ごろから確実な知識を身に付ける勉強を続けていただければと思う。
頑張れ!

 
 
Dr.はやと

受験生の皆さん、第118回医師国家試験の受験、本当にお疲れさまでした。

いろいろな学生からの連絡や分析されている方の動向を見てみると、第118回の合格ボーダーラインは過去最高になりそう?そんな簡単だっただろうか? 私は決してそうは思いません。問題の難易度やレベルは変わっていないように思えます。いや、むしろガイドラインが微妙に変化してさらに厳密になっている感じさえするのですが、そんな中で自己採点がそこまで高い? これは学生さんのレベル変化もあると思います。コロナ禍で実習が中止になることもあった世代で、相対的に机に向かう時間が増えているという事実も関与しているのかもしれません。その一方で、診察器具や臨床に即した優先順位を問うものなどでまだまだ正答率が伸びない側面も見受けられる気がしています。

小児科の問題はオーソドックスなもの、マイナーで面白い疾患の出題、その一方で疾患が何であるのかよくわからない問題まで、非常に多彩であったと思います。 D35(肥厚性幽門狭窄症の輸液組成)D63(周期性嘔吐症のガス分析所見)D75(新生児低血糖のブドウ糖液投与量の計算)などしっかり受験生の頭を働かせる問題も複数見られています。



最後の F問題で各受験生が疲弊している中で小児科系新作問題がけっこう乱れ打ちになっていて、相当しんどかったのではないかと思っています。そんな中で注目なのは新生児マススクリーニングの問題が C33F31でみられたこと。そしてどんな形でも出題は間違いないと思われていたワクチンの問題が C30F57のような形で登場したことです。なかなか裏をかいてくるというか、そこ聞いてきたかというか、一筋縄ではいかないなという印象を持ちました。

 


産婦人科に関しては受験生の答えが割れるような問題が複数あったようです。F18(分娩回旋の問題)D51(コルポスコピー所見)A25(母子感染症)は受験生にはちょっと酷なのではというような内容に見えますし、わざわざ答えを一つに絞る必要があったのかというD43のような出題も個人的には気になっているところです。ただしそれ以外の問題に関しては乳腺疾患の問題も含めてよくあるタイプの出題であったように思えます。


A29は目新しい新作でしたが臨床背景や検査データから正解にはたどり着けるものでした。HPV系の問題がどこかで出てくると思いましたがC16のような形で登場しました。やはりワクチン系は小児科問題もそうだったように、かなり趣向を凝らしてきたものと思います。


そして不妊症になる原因としても注目を集めている高プロラクチン血症系の出題がA73C25で、近年異常増加している梅毒に関する出題もA10B37でみられ、昨今の話題にも忠実でした。

  


近年流行りのD49(不妊症系)C32(出生前診断系)A61(母子健康手帳の内容に関して)も出題がありました。



そして前置胎盤の警告出血系の問題は 112B30で物議を醸し、 117C59で落ち着いたようにも見えましたが、今年も D29で出題されました。受験生の正答率に注目が集まります。




全体的にはとにかく公衆衛生系も含めて高齢者対応に関する問題、いわゆる老年医学系の問題が飛躍的に増えていることに驚きが隠せません。もうわが国は完全に高齢社会という自覚をすべきなのでしょう。英語問題もやはりというべきか純粋な英語問題だけでも4問(A50B13E4E28)、問題の選択肢だけ英語表記になっている問題も2問ありました。英語も必須といって過言ではないでしょう。

今年は11日に発生した能登半島地震の影響で被災されたり、直接被災はしなくても影響を受けたりした受験生も多くいらっしゃったのではないでしょうか。大変な思いをした方々に対して、心よりお見舞い申し上げます。

第117回  医師国家試験を振り返って


Dr.りょう

 117回の医師国家試験を受験した皆さん、お疲れ様でした。

 今まで頑張った自分を褒めてあげてください。本当によく頑張りました。
早速だが、今回の国家試験問題を振り返ってみたい。

 一通り、解き終わっての私の感想は、「『気持ちよく』解答することができたなぁ」だった。 この不思議な気持ち、『気持ちよく』の理由は何かと考えてみた。

 まず、A問題前半(A15まで)が例年に比べて解答しやすい問題が並んでいたことが原因だと考える。
例年、緊張感マックスの初日1問目から割問になるちょっと捻った問題が出題されていた。受験生にとっては出鼻を挫かれてしまうことになっていたが、今年はA15問までは難なく解答でき、その後、良いリズムで進めることができたのではないかと思われる。A4(急性好酸球性肺炎)はちょっと難しいかもしれないが、病態を考え、102A52の画像を思い出せれば問題なく解答できたのではないかと思う。今後もこのように前半には、受験生に優しい問題が並ぶことを切に希望する。
 

 
そのほか、『気持ちよく』解答できた理由を考えてみたが、公衆衛生分野が比較的、過去に問われた問題が多かった点もその原因だろう。116回は公衆衛生分野で、新作の問題が多かったため、受験生を悩ませた。今年はその点、過去問で問われたことが多かった。公衆衛生分野は相変わらず、過去問演習が重要である。必ず、十分な時間を公衆衛生の勉強に充ててほしい。

 以上が『気持ちよく』解答することができたと感じた理由だ。そのほか、117回の問題について、気が付いた点を何点か記載したい。


●診断する能力(手順)を問う問題が多い。
 117回も、「まず、行うものはどれか?」「次に行うものはどれか?」、「さらに行うものはどれか?」などと聞かれている問題が多かった。116回同様、これらの問題が約30問あった。 机上の勉強だけではなかなか対策が難しいこれらのタイプの問題対策としては、臨床問題を解いているときに具体的に問題に登場した患者さんを想像することだろう。臨床問題を解くごとに、新しい患者さんが目の前に現れて、診療・治療をイメージの中で行うことができれば最高である。実際に目の前に苦しんでいる患者さんを、いかにしたら救うことができるか?そこを考える力が必要なのである。

 そのことを机上でできれば、臨床現場に出たときに、必ず、自分を助けてくれることになるだろう。現場で身に付ける診断技術を、学生時代から意識しておくだけでも、十分なことだ。あと、当然ながら「実習を大切にすること」は重要である。

●新型ウイルス感染症(COVID-19)関連の問題が出題された。
 やはりという感じだが、新型コロナウイルス感染症関連の問題が何問か出題された。 E46では、「実際の救急外来の診察手順」、F44は「新型コロナウイルス感染症流行による高齢者への影響」と非常に臨床的な問題でともに良問だ。難易度も特に問題なく答えられるものであった。
 

 
 今後は、新型コロナウイルス感染症の画像診断やワクチン関連、後遺症など、より深い問題が出題される可能性がある。対策を講じておきたい。


●高齢者の現状・高齢患者への対応の問題が多い。  
 117回の傾向で1番は、この高齢者の現状・高齢患者への対応の問題が多くなった点である。ざっと挙げただけでも、下記の17題ある。少子高齢化社会の日本をよく表した問題と考える。実際に、医療現場でも高齢者の対応は多くなってきているし、産業医分野でも高齢労働者が多くなり、その対策が必要となっている。今後もこの分野の問題は増えていくことが予想される。高齢者特有の疾患や高齢患者の現状・法制度などを中心に日々の勉強をしてほしい。

A49(高齢患者の支援)、B14(介護保険法)、B26(認知症患者への対応)、B28(認知症患者の治療方針決定)、D13(介護保険について)、D15(在宅医療サービス)、D19(機能訓練の職務)、D22(介護保険の一次判定)、D30(65歳以上の就業者数)、E21(服薬アドヒアランス)、E25(妻と死別後の高齢者)、E33(ロコモティブシンドロームの対応)、E34(高齢者の骨折)、E35(退院後の介護サービス)、F6(在宅療養中の死亡)、F20(フレイル予防)、F28(高齢労働者の作業安全)


●英語の問題は特に対策必要なし。
 例年通り、2題出題された。ともに特別な英語を勉強しなければならないようなものではなく、英語問題対策は特に必要ないと考える。
・B8(空気感染する感染症) たとえ英語が分からなくても、選択肢に感染症が並んでいて、問題文に「air…」とあれば「空気感染するものでは?」と考えられる。
・D52(頭痛の疾患) MRIなどで所見がないこと、髄膜刺激症状がないことからある程度、選択肢は絞ることができる。「Cluster」はコロナ関係で「集まる・集塊」などかと想像できれば「群発頭痛」は選べるのでは。


●画像問題は相変わらず多い。
 やはり117回も画像問題が多かった。この傾向は今後も続いていくだろう。画像問題の対策は、国家試験の過去問10年分くらいを繰り返し行い、すべての画像の特徴を暗記してしまうことが近道である。今回も、過去問と同じような画像が多く出題されているからだ。  

 以上が、私の117回医師国家試験の分析・総括だ。
 来年に向けて、日ごろから確実な知識を身に付ける勉強を続けていただければと思う。

 頑張れ!
 

 

Dr.はやと

受験生の皆さん、お疲れさまでした。日々積み重ねてきた自分の真の実力を発揮できたでしょうか。雪や寒波の到来で大変だった地域もあることでしょう。まずはからだを芯から温めて、春からの医師生活に備えるべく感染対策には十分に気を付けて羽根を伸ばしてください。

 まず産婦人科は唸るような新しいタイプの問題が複数みられた。
A30「妊産婦DICに投与すべきもの」、C54「胎児に一過性の徐脈が出現した際にまずする対応」、C55「分娩対応(難しすぎる可能性)」、D32「乳癌治療方針決定のため今後行う検査(これもけっこうな難問」)、D60「子宮肉腫の発生と最も関連が深い事象(こんなん知るかい!という受験生も多そう)」、F40「子宮体癌治療後に生じるリンパ浮腫」、F71〜73連問の「経口避妊薬服用中に発生した肺血栓塞栓症」など、そしてE30では子宮頸管無力症の問題で頸管縫縮術(必修としてどうなのか?という疑問はある)がついに正解選択肢になったとして一部では話題沸騰している。
 

 
また、女性医学学会では何かと話題になっている女性アスリートの健康問題もE3「やせ・続発性無月経のアスリートで注意すべき合併症」として出題された。

 その一方で、リベンジ問題も顔を出し、C59「前置胎盤の警告出血」は112B30(作成者の指示した模範解答は1択であったが、厚生労働省より2つの正解選択肢が発表された)の編集・改良した問題とみられる。新作や改変問題も受験生にとってイメージすることがかなり難しい問題もあれば、柔軟に対応できるような解きやすい問題もあり、除外されそうな問題候補もいくつか見受けられるが、難易度としては顕著な変化はみられないように感じた。ただし、出題のバランスにはかなり偏りがみられた。C問題では産科問題ばかりで婦人科問題が皆無であったのに対し、D問題では婦人科問題が多くを占め、純粋な産科問題はまったく見られなかった。これには受験生も戸惑ったのではないだろうか(逆にヤマを張りやすかったという考え方もあるのかもしれない)。
 



第116回  医師国家試験を振り返って


 Dr.りょう
 116回医師国家試験を受験した皆さん、お疲れ様でした。試験が終わって数週間経過し、きっと今頃は羽を伸ばし次のステップへの準備をしていることでしょう。 すでに次年度に向けて走り始めている人もいるかと思うので、さっそく今年の医師国家試験を総括・分析してみようと思う。
 すべての問題を解いてみた印象を一言でいうと、『良問が多くなった』ということだ。 総合的な知識を問う問題が増え、しっかりと考えさせ、確実な知識がなければ解答を導けない問題が多くなった。 問題文のキーワードから一瞬で解答できるもの(いわゆる瞬殺問題)や、選択肢の消去法で解答できるもの、診断名が分からなくても選択肢から当然に選ぶことができてしまうものなどが少なくなっていた。
 また、誤りの選択肢も明らかに見当はずれなものが少なくなり、選択肢からある程度、正解を絞るということも難しい問題が多くなった印象だ。 これらの点から、受験生の皆さんは難しい(手応えがある)と感じたのではないだろうか?
 試験問題の質が上がることは、努力が正当に評価されることになるので、大変喜ばしいことだ。
一方で、いい加減な知識では太刀打ちできなくなっていることを考えると、より確実な知識を日ごろから得ることを意識した勉強を行わなければならなくなってきているとも言える。
では、詳しく分析し、今後の勉強方法(対策)を考えてみようと思う。


1.診断する能力(手順)を問うものが多い。

 訴えをもって来院した患者さんに対し、『どのようなアプローチ(検査など)で、どのように診断を得て、どのような対応をするのか?』を問う問題が多くなっている。 これは、医師になって行う総合診療科の外来診療のような、診断の順序を聞くもので、より実践的なものである。
 具体的には、問題文中で「まず、行うものはどれか?」「次に行うものはどれか?」、「さらに行うものはどれか?」などと聞かれているものだ。以前から救急外来などでの初期対応を問われることはあったが、それが一般外来診療での対応にまで広がってきた印象だ。
 『まず行う検査・処置は?』『次に行うことは?』『さらに行う検査は?』など臨床現場に出たときに、当然に必要なこと、考え方である。今までは、現場で身に付ける技術であったが、これが国家試験で問われるようになってきているのだ。なかなか手ごわい。
 
 今回の116回医師国家試験では、これらの問題が約30問あった。ちなみに10年前の106回医師国家試験で調べてみると15問程度。このことからも、今後、よりその傾向が強くなってくるだろうと思われる。実践的な問題で良問が増えることは喜ばしいことだが、机上の勉強だけではなかなか対策が難しくなってきている。
 では、これらの問題に対する対策はどうすればよいか?これがなかなか難しい。
まず、「実習を大切にすること」があげられるが、それですべては解決しない。(おそらく、この大切さに気付いたときにはすでに実習が終了していることが多いだろう)
 対策として、一番良いのは、臨床問題を解いているときになるべく、具体的に問題に登場した患者さんを想像することだろう。
 
 例えば、「30歳女性の腹痛」でも、独歩できたのか?救急外来にきたのか?はたまた、病院の入口で車いすを借りて車イスで診察室に入ってきたのか?前かがみになって入ってきたのか?どこを抑えているのか?吐き気があるなら口元を抑えているのか?などなど、診察室に入ってきたときの状況を想像すること。また、得られた検査結果や画像から、こんな感じだろうと想像しながら過去問を解いていくことが重要だ。
 臨床問題を解くごとに、新しい患者さんが目の前に現れて、診療・治療をイメージの中で行うことができれば最高である。実際に目の前に苦しんでいる患者さんを、いかにしたら救うことができるか?そこを考える力が必要なのである。
 このように考えてみると、本当に全力で患者さんを救いたいと思える人が合格できるという素晴らしい試験になってきているとも考えられる。


2.画像問題は相変わらず多い。

 最近の顕著な傾向であるが画像問題がやはり多くなっている。一般・臨床実地問題では特に顕著で116回医師国家試験では、画像問題は約90問あった。これは全体の約30%にもなる。これは落とせないし、対策をしっかりしなければならない。 すべての画像は難しいが、多くの画像は見ただけで、その疾患名がわかるレベルにしたい。画像を見て診断名が分かれば、極端な話、問題文を読まなくても解答を得られる問題も多いからだ。
 
 では、どのように画像問題の対策をすべきかであるか?
 あくまで、合格するためにはという話であり、国家試験で満点をとりたい人は聞かないでほしいのだが、私は独自に画像の参考書やアトラスなどを購入して勉強する必要はないと考える。(ただし、皮膚科は過去問だけでは足りないので、アトラスを見ておくべきとは思うが。)
 国家試験の過去問10年分くらいを繰り返し行い、すべての画像の特徴を暗記してしまうことが近道である。
画像の内容を検討すると、以前は過去問とまったく同じ画像が出題されることがあったが、さすがに同じ画像はなくなった。しかし、それでも過去問と同じような画像の出題は多い。
 

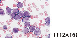
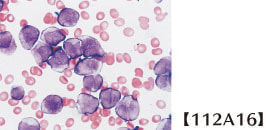
 例えば、 116A23112A16できちんと見ていれば細胞質にアズール顆粒、Auer小体を認める細胞の増加を認めることから『急性前骨髄球性白血病(APL)』であることがわかるので、治療法を聞いている問題は瞬殺であった。
 
 
116D65114F43103D54などをきちんと見ておけば、少なくともマクロファージがなんか貪食していることがわかるので、『血球貪食症候群』ということがわかり、フェリチンが上昇する疾患としてまとめておけばおのずと解答は導ける。
 
 
116D71も、血腫の形が三日月型か凸レンズ型の違いだけでだが、 109I24でしっかり検討していれば問題ない。
 
 

とにかく過去問で出題された画像はすべてチェックすることは最低限、必要である。それが全てできたら、独自のアトラスなどで勉強してみてはいかがだろうか。
 
 
3.公衆衛生は過去問にプラスαを。

 公衆衛生は、社会の最新の問題を細かく聞いてきている印象だ。
社会保険制度(B10)、地域保健医療(C5)、労働災害(C32)、出産・育児(C35)、労働安全衛生法(E20)などまんべんなく問われている。
特に労働災害や労働安全衛生法関連問題などは、細かいことを問われていてなかなか難しい。
 
 普段から時事ニュースをチェックしておくことも重要だが、問題を解くセンスも必要だ。 例えば、「健康の保持増進のための措置について誤っているのは?(E20)」の問題では、「健康についての措置なので、従業員の人数で判断するのはおかしい。全ての事業場で必要なのでは?」と考えを巡らせれば解答に近づける。
 いずれにしても、公衆衛生は過去問だけでは対応できなくなっていることは確かだ。
また、問題数も多くなり、その比重が大きくなってきているので、早めの試験対策を行いたい。
公衆衛生の対策が後手に回ると厳しい結果となってしまうため、マイナー科目の一番手には勉強を始めることをお勧めする。今後、公衆衛生で合否がわかれる可能性があるからだ。
 
 
4.常識を忘れない。

 より実践的で臨床的な問題が多くなっている影響で、「そりゃそうでしょ」的な常識ある対応を問われる問題が少なくなってきている。以前からあるいわゆる常識問題というものだ。
とはいえ、少ないながらもまだ出題されてはいるので、この分野での取りこぼしは危険だ。
この種の問題については、あまり考えすぎずに素直な心を持ち、変に裏を読まないことが大切である。
木を見て森を見ずにならないようにしたい。
 
具体的には次の様な問題だ。
116D21の「緊急大動脈弁置換術の適応とならないものは?」。これは冷静に考えれば「昏睡状態の患者さんに行うのか?ましてや緊急で?」と、考えればわかる問題である。
116B30の「80歳の患者さんが夜中にトイレに行こうとして転倒した対応」を問われている問題も、「離床センターの使用」を素直に選ぶことができるのではないかと思う。
116B46の「医師の説明で省略できるものは?」の「研究段階の医療の概要」も落ち着いて考えれば問題なく選ぶことができるのでは。
 このような常識的に考えれば正解を導ける問題は、ほぼすべての受験生が正解するため、取りこぼさないことが非常に重要である。
 おそらく大丈夫だと思うが、もし間違えてしまう可能性があるとすれば、国家試験会場という特殊な場面で周りが見えなくなってしまう場合である。そのための対策として、場慣れということを考えると模試などを受験しておくことも必要かもしれない。
 
 
5.心を問う問題は少なくなってきているが。

 今回の医師国家試験では、医師または人として患者さんに対してどのように対応・行動するかという心を問う問題が少なくなっていた。少し寂しい気がするが、問題の分量配分の関係で仕方がなかったのかもしれない。
具体的には、「末期がんの患者さんへの寄り添う態度」、「プライバシーに配慮する行動」、「せん妄や認知症患者への人権を尊重する対応」、「検査拒否の患者への対応」、「問題のある研修医の言動」などだ。最近の傾向としてはこの手の問題は増加していたので、ちょっと意外ではあった。
 それでも、悪い知らせの伝え方(E50)など、出題はされてはいたので、今後も引き続き、注意はしたい。ただし、これも特別な対策は必要なく、過去問対策だけで十分だと考えられる。
 
 
6.計算問題対策は今まで通り。

 計算する問題は、5問出題されていた。これらについては、尤度比の計算などを含めてどれも特別な対策はする必要はないと感じた。新作の問題も、その場で落ち着いて計算すれば問題なく解答を得ることができるものであった。
 今回、問われることはなかったが、次回以降の対策として改めて、過去問で問われている「肺胞気―動脈血酸素分圧格差(A-aDO2)」、「BMI」、「呼吸機能検査関連」などの計算問題は確実に解答を得られるよう準備をしておきたい。
 
 
7.英語問題対策は特に必要なし。

 今回も英語の問題が数題、出題された。今後、問題数が増加するかは分からないが、引き続き何問かは出題されることは確実だ。
では、どのような対策をすべきであるか?これも特別な対策は必要ないと考える。
英語の内容は中学生レベルであり、文章だけでなく画像があることが多いので、画像からだけでも解答を導けるからだ(そのように考えると画像診断がより重要であるともいえる)。

 例えば、116A61はMRI画像から脳梗塞であることがわかる。問われているのは心電図の診断であるので、脳梗塞を起こす可能性のある心電図の異常を考えれば自ずと正解にたどり着ける。
116E38は、21歳の若年男性の2週間前から悪化する(突然発症でない)胸痛であることがわかれば診断は絞られる。この問題にもレントゲン・ECGがあるので、問題なく解答を得ることができると思われる。
 英語の問題だからと特に意識して区別せず、きちんと日本語で勉強をしていれば対策としては十分であると考える。

 以上が、私の116回医師国家試験の分析・総括だ。
 来年に向けて、日ごろから確実な知識を身に付ける勉強を続けていただければと思う。
頑張れ!
 
 

Dr.はやと

 産婦人科問題に関してはオーソドックスな問題と新しいようなタイプの問題がちりばめられていた。 昨年は卵巣悪性腫瘍各論が複数問出題されて度肝を抜かれたが、今回は典型的な卵巣癌や子宮体癌、子宮頸癌の出題がなかった。

 その一方で周産期に関しては助産師国試のような細かい分娩経過を問う問題もあり、GBS陽性妊婦の対応など新作もみられた。 労働基準法だけではなく育児休暇や就労について、さらに死産届に関してなど公衆衛生的な切り口でも新作がみられた。

 小児科はオーソドックスな問題が多かった印象がある。最近流行りの乳幼児の正常所見・異常所見・循環不全を疑う所見などは今年も出題された。そしてやはり感染症系からも複数問、出席停止基準やリンパ節が腫れる疾患などが狙われた。虐待に関しては違う観点から出題された。

 全体的に見渡すとアナフィラキシーショック系や伝染性単核球症、多発性嚢胞腎など同一疾患の問題が複数みられ、新型コロナウイルス関連を匂わせる問題も複数問みられた。また、最近必ず顔を出す英語問題も少なくとも3題みてとれた。

 今年は臨床問題や臨床連問の部分で突然字体の変更があったり、謎の行間やスペースなど例年ないような違和感を覚えたこともたしかである。また、選択肢も実に微妙で日本語の問題であったり、解答を決めきれないような難問、いわゆる割れ問になりそうな問題も多そうで、受験生の皆さんも苦労した問題が例年よりやや多かったのではないか、という印象を持ちました。

 

第115回  医師国家試験を振り返って


 Dr. 東田による講演(第115回の総括と第116回に向けての提案)
 
 
 

第114回  医師国家試験を振り返って 


 Dr. 東田による講演(第114回の総括と第115回に向けての提案)

講演「第115回医師国家試験に向けて(第114回医師国家試験を振り返って)」Dr.東田(44分)

 

 
 
Dr.K 

 第114回医師国家試験を受験された皆さま、お疲れ様でした。

 試験当日にMACに寄ったら、東田先生、はやと先生らが問題を解いていらして、私も加わらせていただいた。今回の国試も、受験生に対して程よい厳しさと優しさがあり、資格試験のあるべき姿として全般に歓迎される内容であった。
 
 さらに今回、必修が比較的容易だったことは素晴らしいと思う。第111回のように、必修で獣を罠にかけるような悪問が出題されて必修落ちが増えた場合、受験生としてはどれだけ優秀でも番狂わせで落とされる恐怖が生じ、いくら国試対策をしても安心できず、ポリクリ中でも国試対策問題を解いて目の前の実習が疎かになり、本来のポリクリ重視のための必修導入の意義が本末転倒になっていた。  

 これからの国試はむやみに低学年から対策せずとも、6年春~夏までは実習やクリクラに専念し、じっくり医学的素養を涵養し、その後に国試対策をすれば十分だしその方が合格確率も上がるだろう。ただ、国試対策にはコツがあり、孔子の言う「学びて思わざれば則ち罔し(くらし)、思いて学ばざれば則ち殆し(あやうし)」を意識すべきであろう。以下に詳述する。
 
「学び方」としては、あやふやな知識は無いのと同じで、いい加減にではなくカチッと覚えないといけない。膨大であるから、病態生理からアプローチしたり、ゴロを活用したりも有効であり[1]、縁があればイメージやこじつけによる覚え方も伝授したい。状況記憶も重要であり、ポリクリで体験すること自体が記憶に残る。今回、不合格だった方は勉強仲間を募って時々、出題し合うことが大事だと思う。独りでやるより印象に残るしモチベーションも高まるから。
 
 また、iPad動画等で勉強する人も増えたが、それを中心にするのはどうかと思う。ペンフィールドのホムンクルスで知られるように、脳は手に対応する領域が多いため、板書等で手を使うこと自体が頭を使うことになる。加えて、スマホ学習等で視野が狭いと記憶に不利になる(詳細は「記憶 視野」等で検索されたし)。もちろん、補助的学習としてネット動画を活かすことを否定はしない。

 「思い方」は東田先生のおっしゃる「思考力」と重なり、なかなか一朝一夕にはいかないが、例えば医療のゴールデンスタンダードは「非侵襲的な検査・手技から侵襲的へ」という流れであり、臨床問題を解く際に、今はどのフェイズなのかを意識しよう。また、文章から情景をイメージできることも大事である。114E50の癌治療の状況説明では、その光景をイメージして、ポリクリで自分が見た光景と対比できましたか? これが苦手な人は小説を多く読もう。

 加えて、①:知識がなくても常識的に解ける問題、②:知識があるのに思いつかず解けなかった問題というのが本番で生じるが、①を増やして②を減らす訓練が必要である。①に関して、114D17(分娩合併症)や114D30(RAの生活指導)は産婦人科やリハ科の知識がなくても常識的に解ける。こうした問題が解けないなら、上述したように仲間と学習して自分の性格的な癖に気づいて修正する必要がある。

 ②に関して、個人的には114C34を間違えた。女性化乳房は女性ホルモン/男性ホルモン比が上昇して生じるため、肝硬変(女ホ↑)と精巣腫瘍(男ホ↓)は良いが、もうひとつをドパミン受容体拮抗薬でなくACTH単独欠損症を選んでしまった。PRLに関しては「PRL↑↑→ GnRH↓→ ゴナドトロピン↓→男ホ↓」というくらい、PRL ↑↑がないと、女性化乳房は認めない [2]。それが頭にあったことと、ドーパミンがPRLを抑制することは自ら論文に書いている(甲状腺癌が女性に多い理由とPRLの関係について [3] )のに失念していた。「ACTH↓ → 副腎刺激↓→ 男性ホ↓」を優先したからだが、思い返してみれば授業で自ら「男性の男ホのうち副腎由来はわずか5%」と言っていたのに忘れていた。こうした誤りは、試験を解いている自分、論文を書いている自分、講義している自分が乖離していることが原因であり、自己同一性を保持するためにも情報を一元化することが望ましい。一つの予備校についていくとか、あちこちの媒体をつまみ食いするなら自分のまとめノートに情報を一元化するなど。

 上記の小説に関して補足。今回、残念だった人は、いきなり勉強をリスタートするより、本格推理小説を犯人やトリックを自らあてるつもりで読むといいと思う。東田先生が「臨床問題は因果関係でなく果因関係だ、名探偵コナンと一緒だ」と話されたり、診断の神様が本の序文で「医療従事者はどこか探偵的で…」と書いているように [4]、臨床問題を解くというのは、結果を元に原因を探る作業に近いからである。えっ? 何から読んでいいかわからない? じゃあ、『斜め屋敷の犯罪』か『屍人荘の殺人』あたりから。

 なお、MACのホームページから「Topics」→「医学の勉強の仕方」の動画も参照されたい。私も出てますよ(⌒・⌒)ゞ。


[1] 自著「Dr.Kのスーパーフレーズ」(絶版w)等
[2] https://www.ncbi.nlm.nih.gov/pubmed/10770986
[3] https://www.ncbi.nlm.nih.gov/pubmed/30593422
[4] ティアニー先生の診断入門 第2版 医学書院
 
 

Dr.はやと

  国家試験受験生の皆さん、おつかれさまでした。国家試験当日のディスカッションに本格的に参加させていただいたのは今回が2回目でしたが、東田先生やDr.K、スタッフさんらとともに有意義な時間を過ごさせていただきました。

 いきなり初日のA問題では面喰いました。メジャー領域は比較的オーソドックスな問題が多いように思えましたが、新傾向のような問題が顔を出し、特にマイナー領域は難しい問題が多いように感じました。産婦人科の問題でも解答に難渋するものがいくつかありました。逆の見方をすれば、A問題以降は解きやすかったのではないでしょうか。必修問題(B、E)はいわゆる割れ問を除いては重箱の隅をつつくような奇問珍問はなかったように思います。最初に難易度の高い問題が揃って出されて心が折れないか、まさに受験生諸君のメンタルが試されているような構成でした。

 まず一番驚かされたのが英語問題です。以前は必修に一題だけ英語問題があるというのが国家試験の定説でしたが、114回医師国試はA31に登場して英語に拒否反応がある受験生の悲鳴が轟いたのを皮切りに、D63、E35、F22(F22は純粋な英語問題ではありませんが)と一気に英語が大挙押し寄せました。これは日本人医師の英語離れに警鐘を鳴らしているのであろうと思います。昨今の医療界は結局、論文で評価されるものです(この体制もどうなのか、と私は疑問に思いますが…)。大学の医局に属しても英語論文を書かない、そもそも英語論文を読まない。地方の病院に属すものであれば尚更です。その予防措置として大学によっては入学時、もしくは在学中のTOEFL、TOEICの点数獲得が必須となっているという情報も聞こえてきています。英語を甘くみないでほしい、という厚生労働省のお達しが見え隠れしています。少なくとも英語に拒否反応を示すのは避けた方がよいでしょう。

 さらに虐待や児童相談所に関する問題もB5、F13、F57と出題されました。法律改正直前の事項にはやはり注意を払うべきでしょう。あとはとにかく薬剤に関する問題が飛躍的に増えたということです。薬剤の継続使用や副作用に関して、それだけでなくそれぞれの薬の適応や効果・作用等も問われるようになってきています。薬への知識は深めるべきかもしれません。

 最後にCBTの聞き方のような問いもいくつか目にしました。「やらない検査はどれ?」「選ばないのはどれ?」のような、答えに明確な意味はそこまでないのだけれど、問いに対して的確でないためしょうがなく選ぶ選択肢というような類のものです。これにはやはり検査の意味を知っていてほしいということや、鑑別疾患の大切さを物語っているのは明白です。

 最短6年間で積み上げてきた情報量をどのように引き出すか、それには机上の勉強だけではなく訓練が必要です。問題を解くうえで、あるいは勉強会等を通じて『自分の中にある引き出しをうまく開けることができるのか。』それが最大のテーマであると私は考えています。